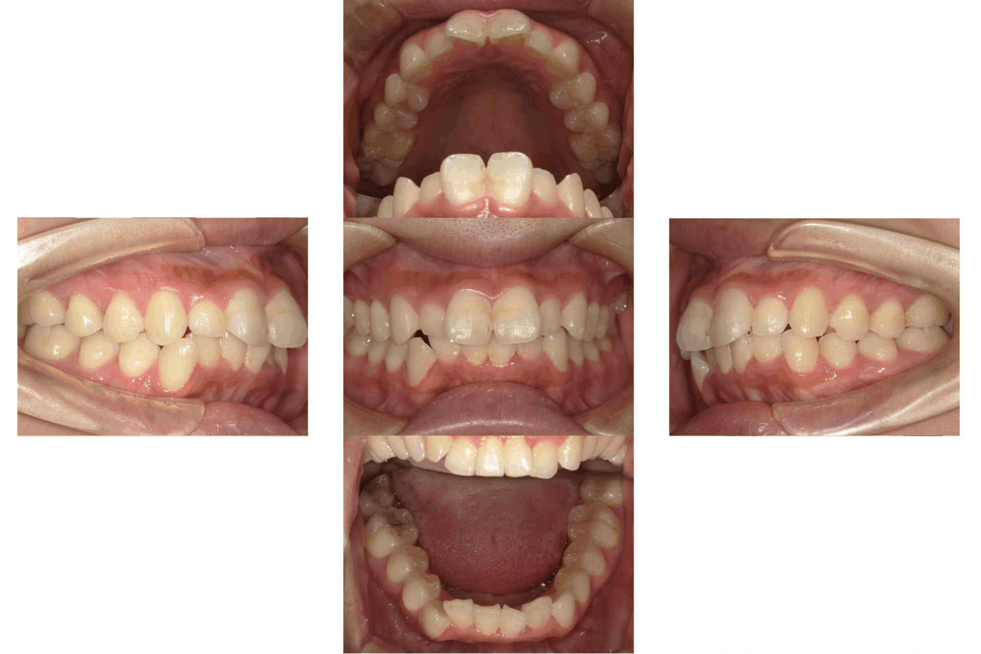
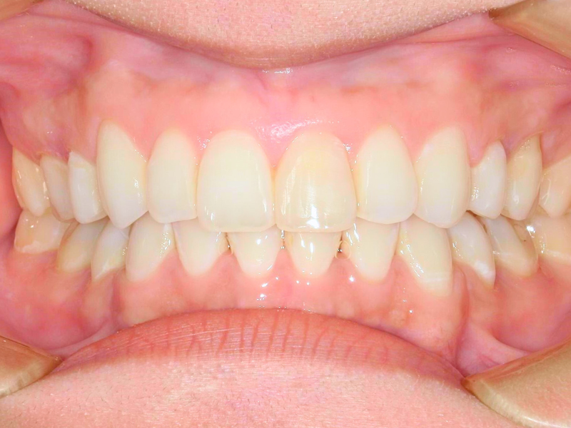
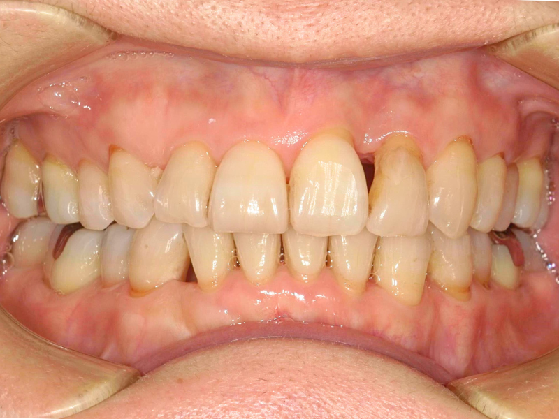
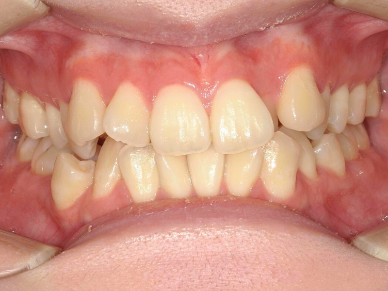
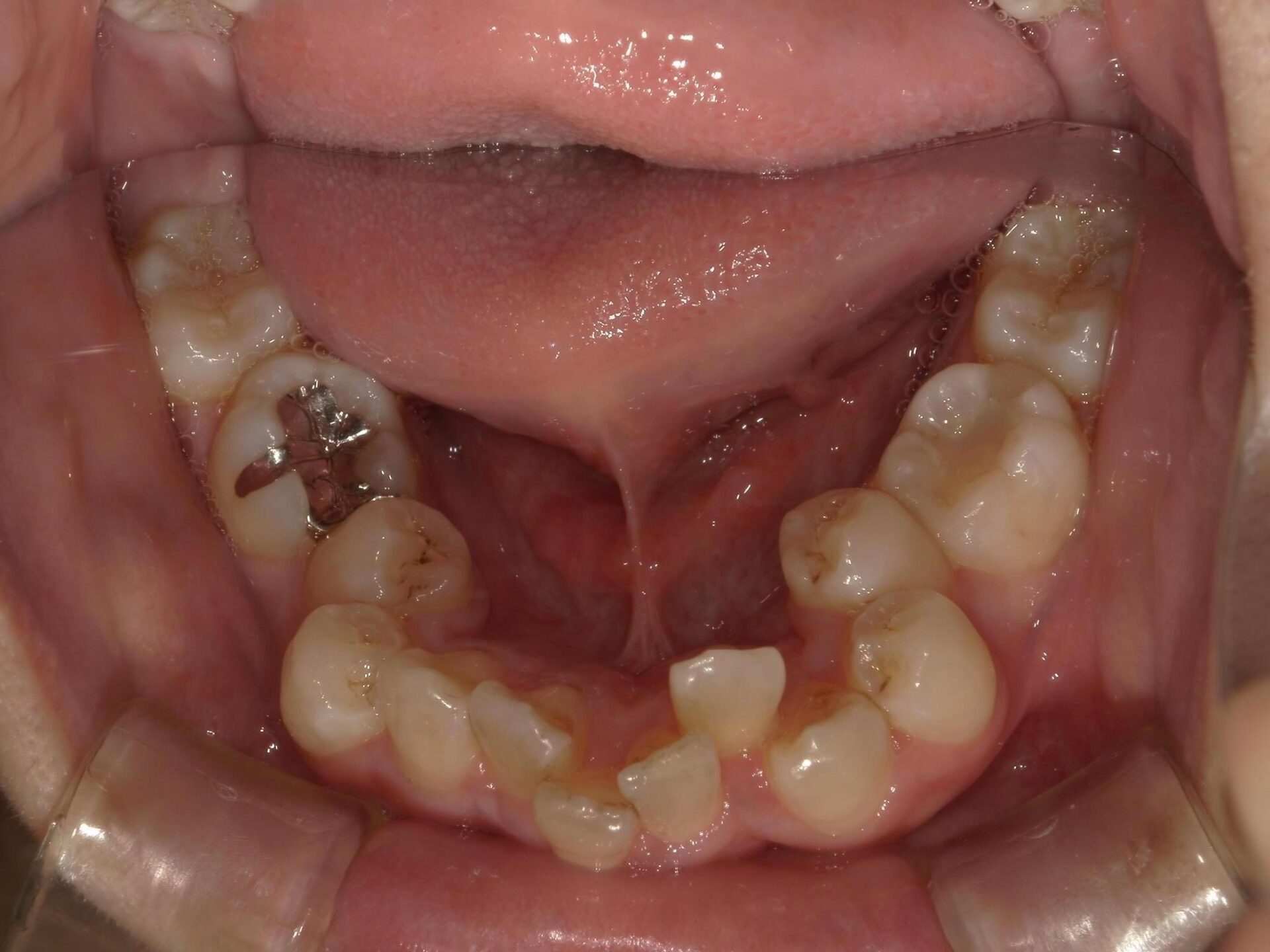
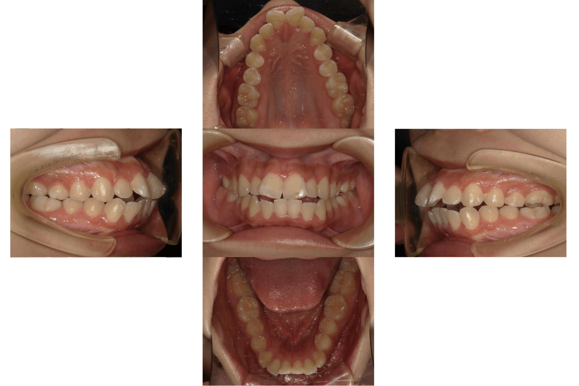
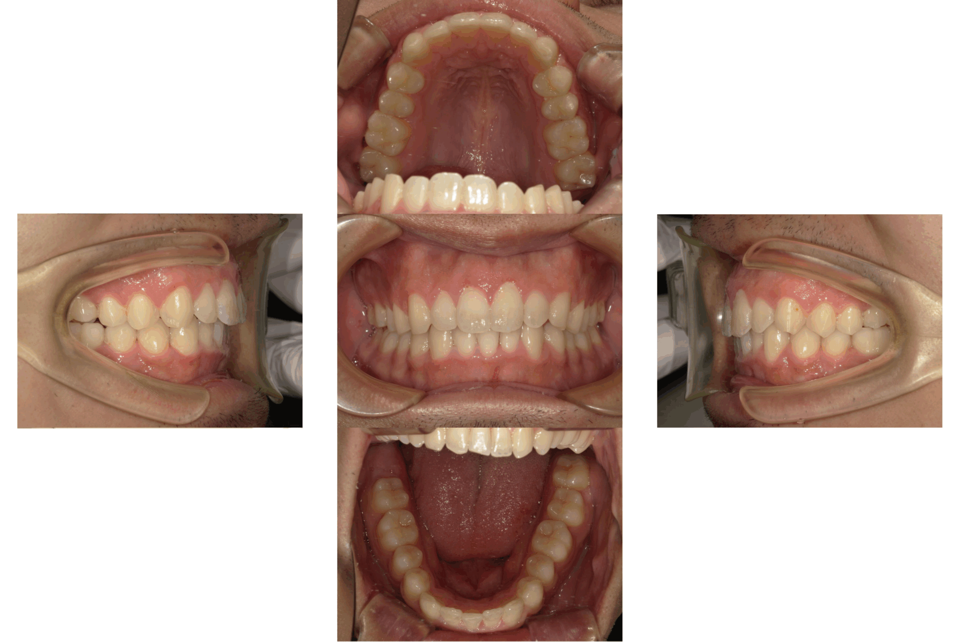
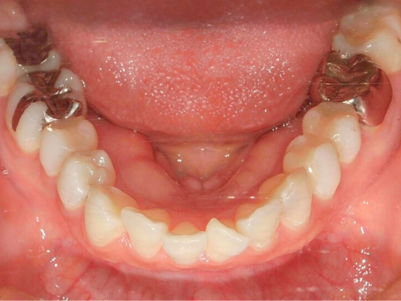
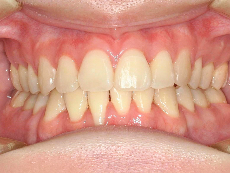
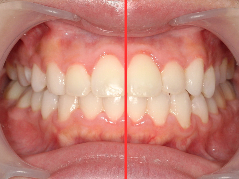
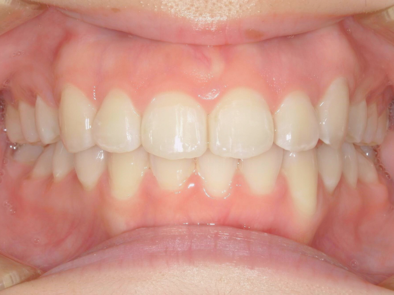
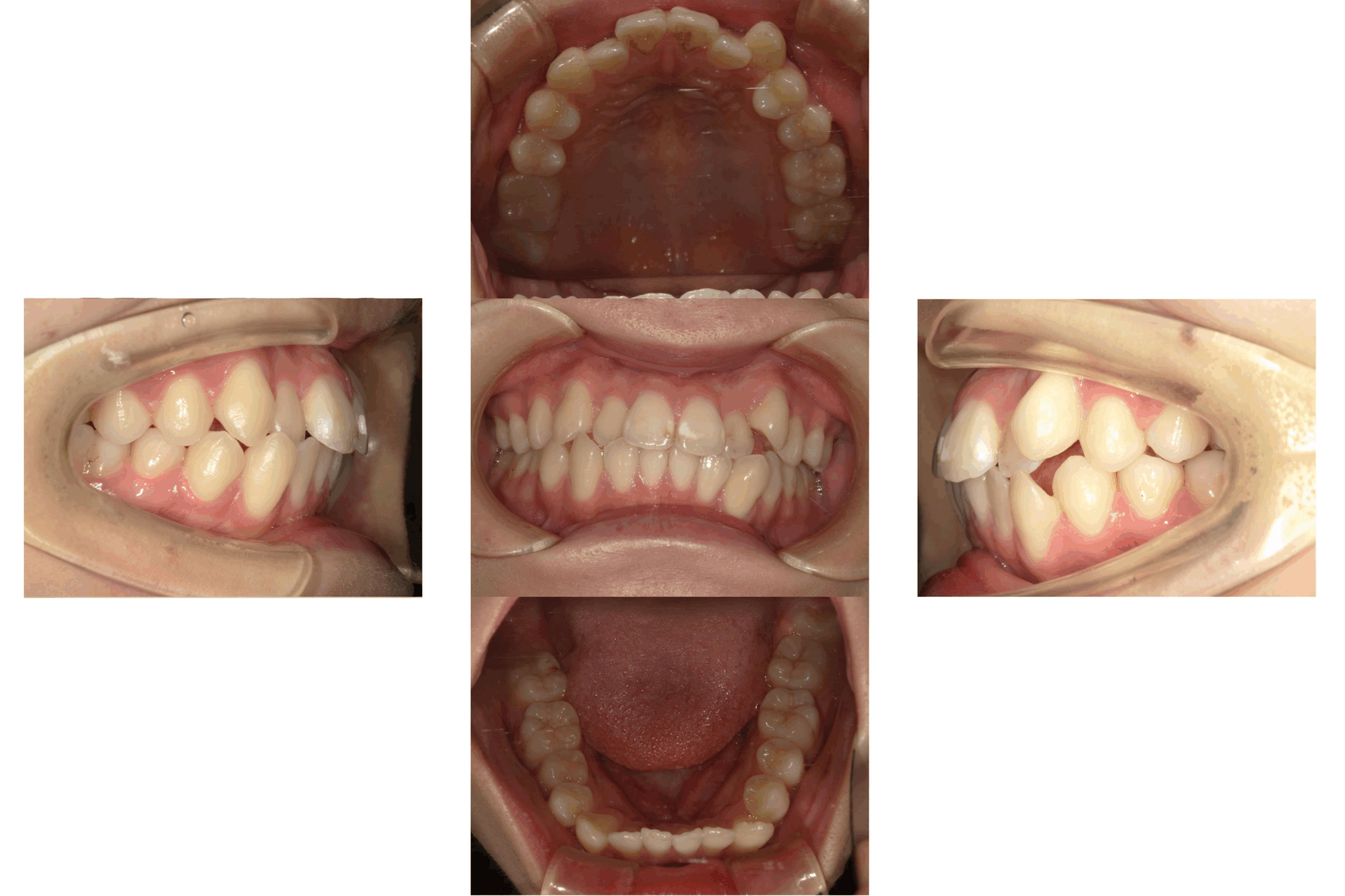
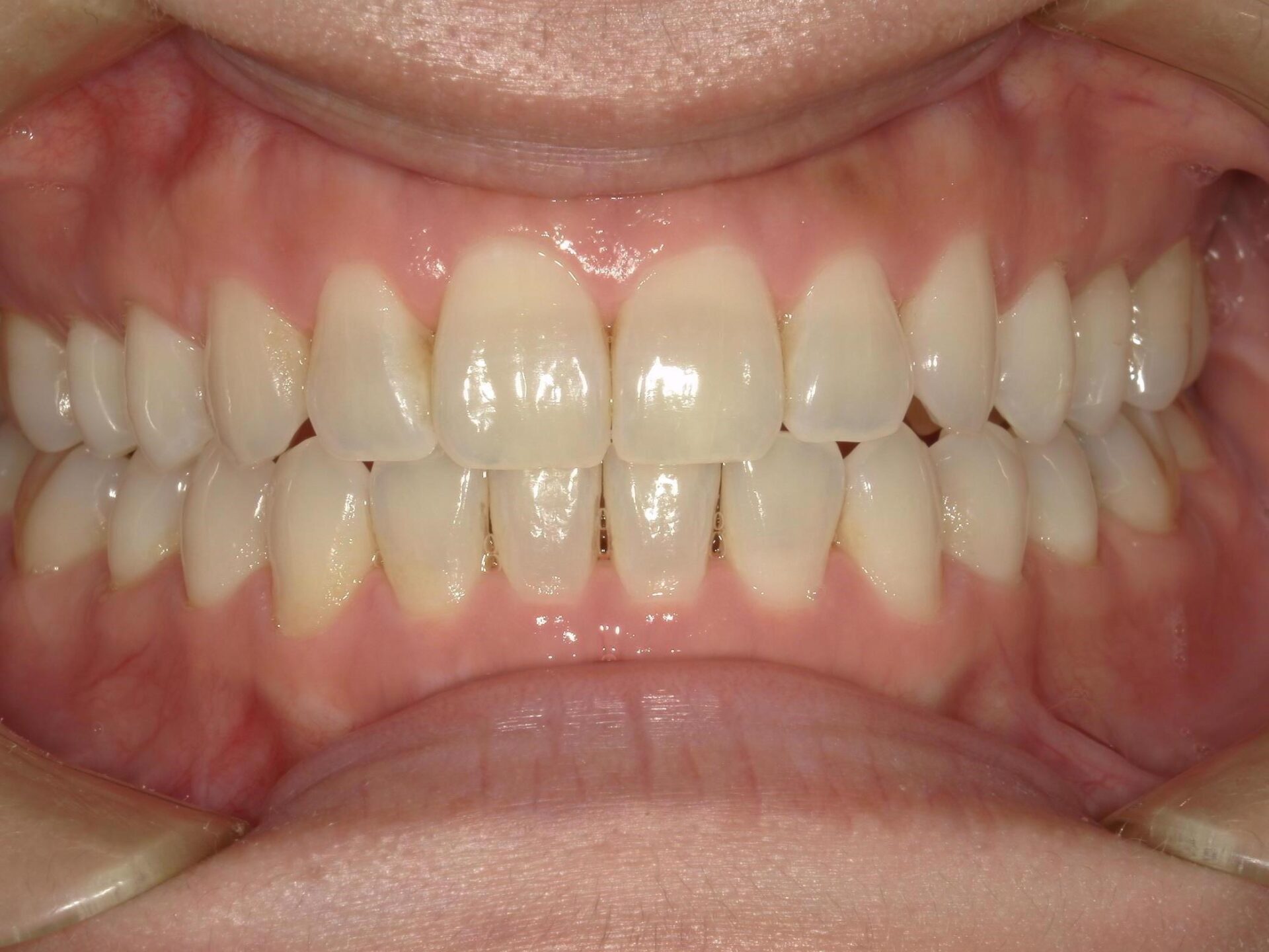
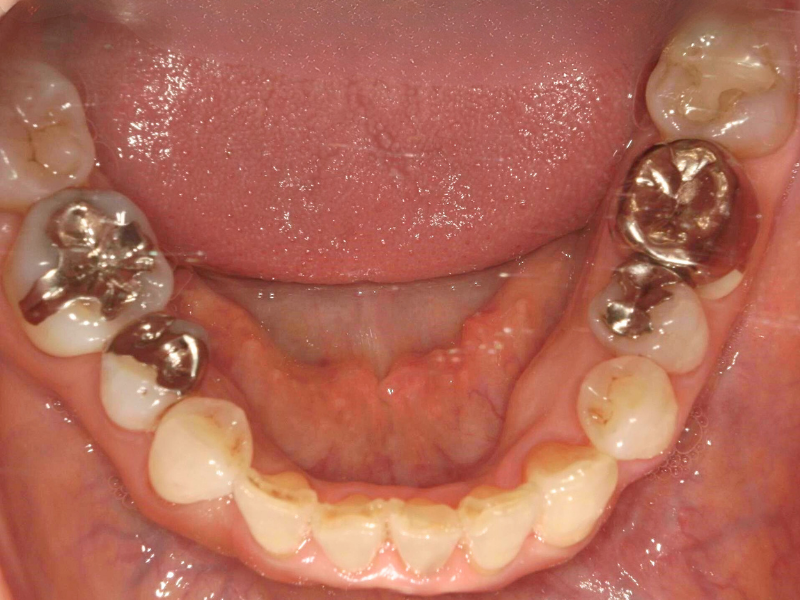
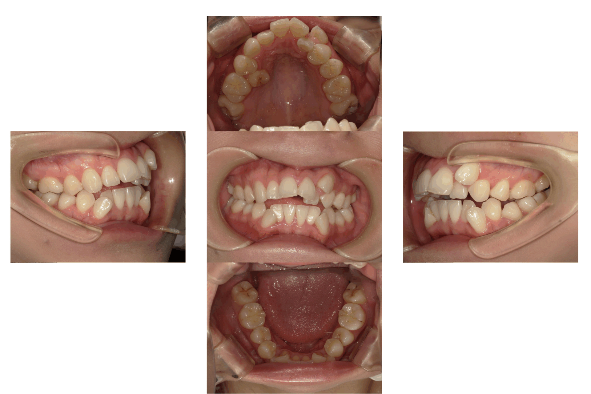
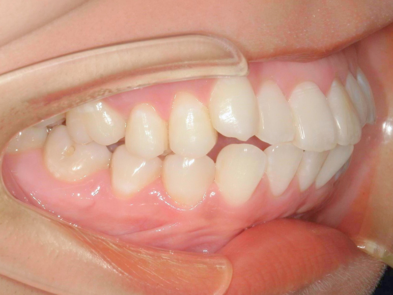
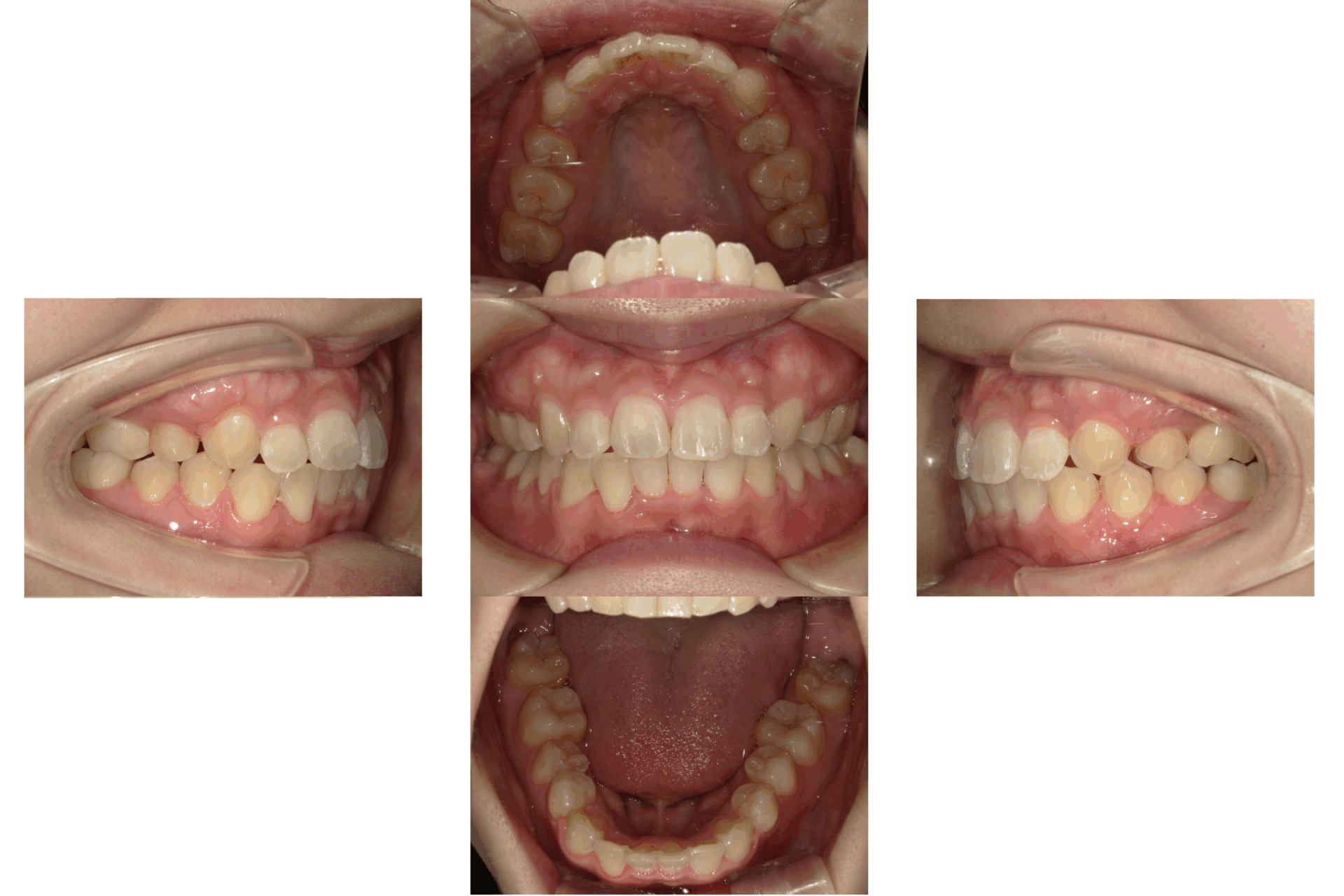
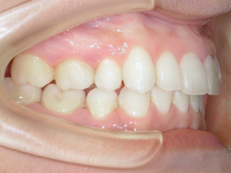
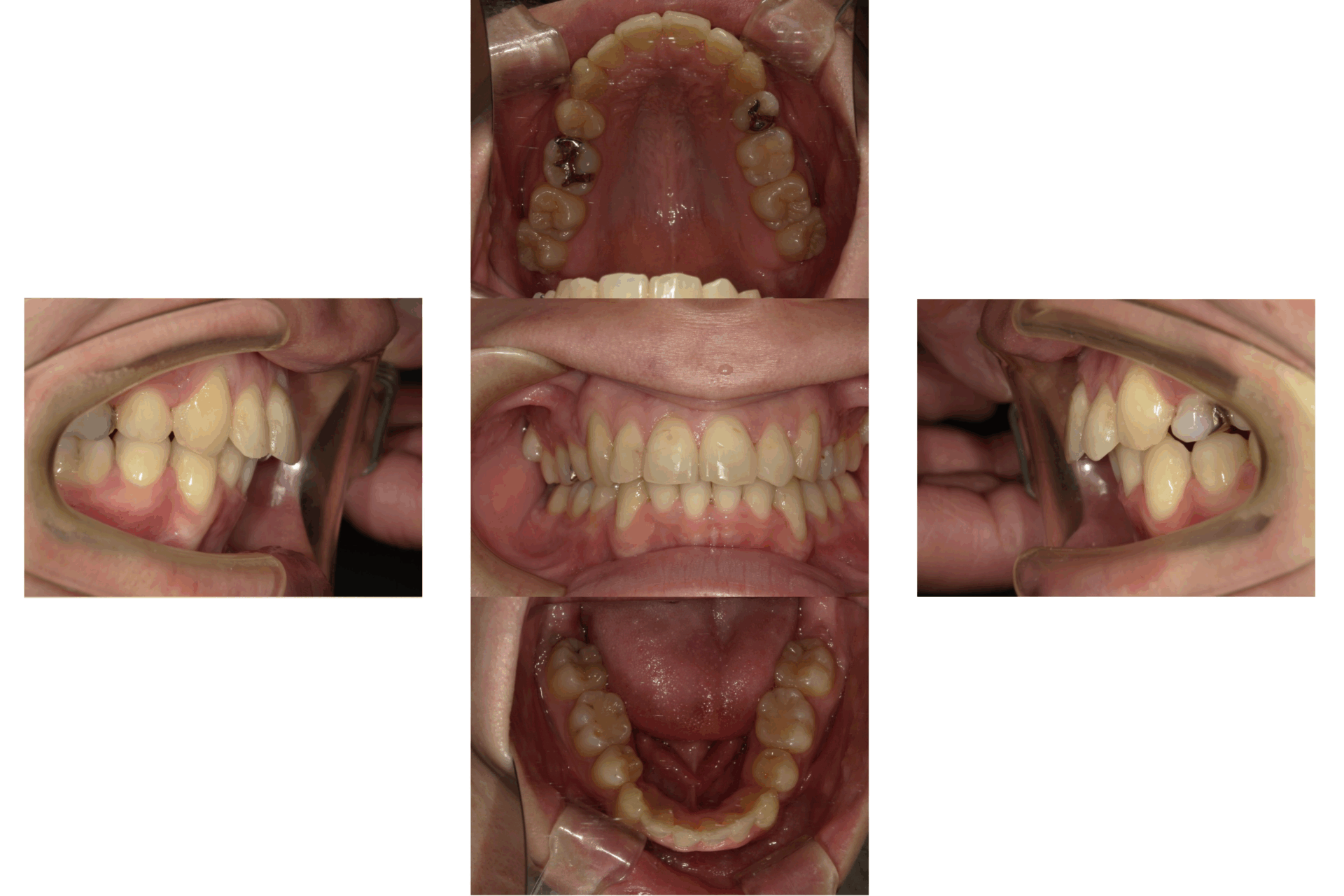
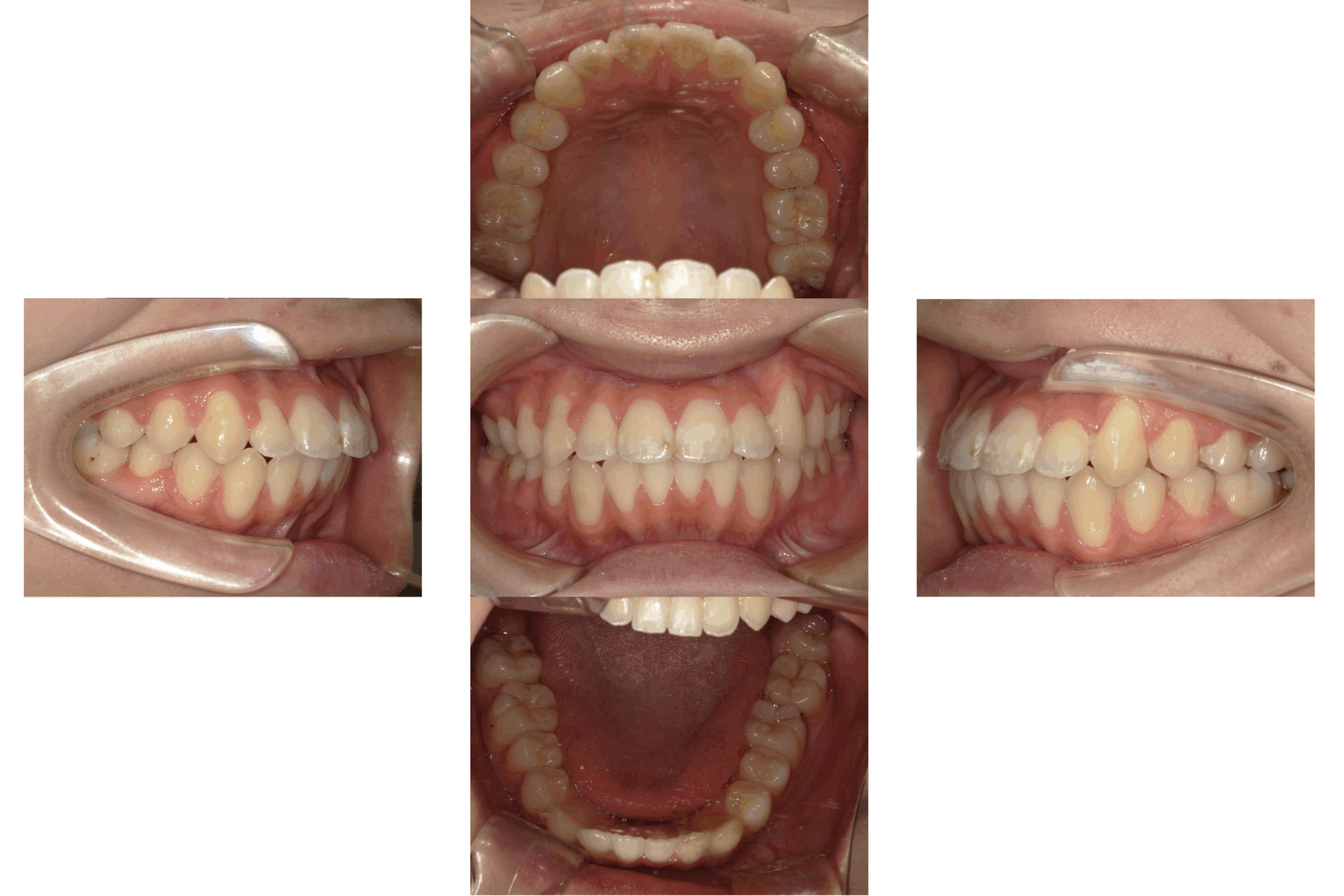
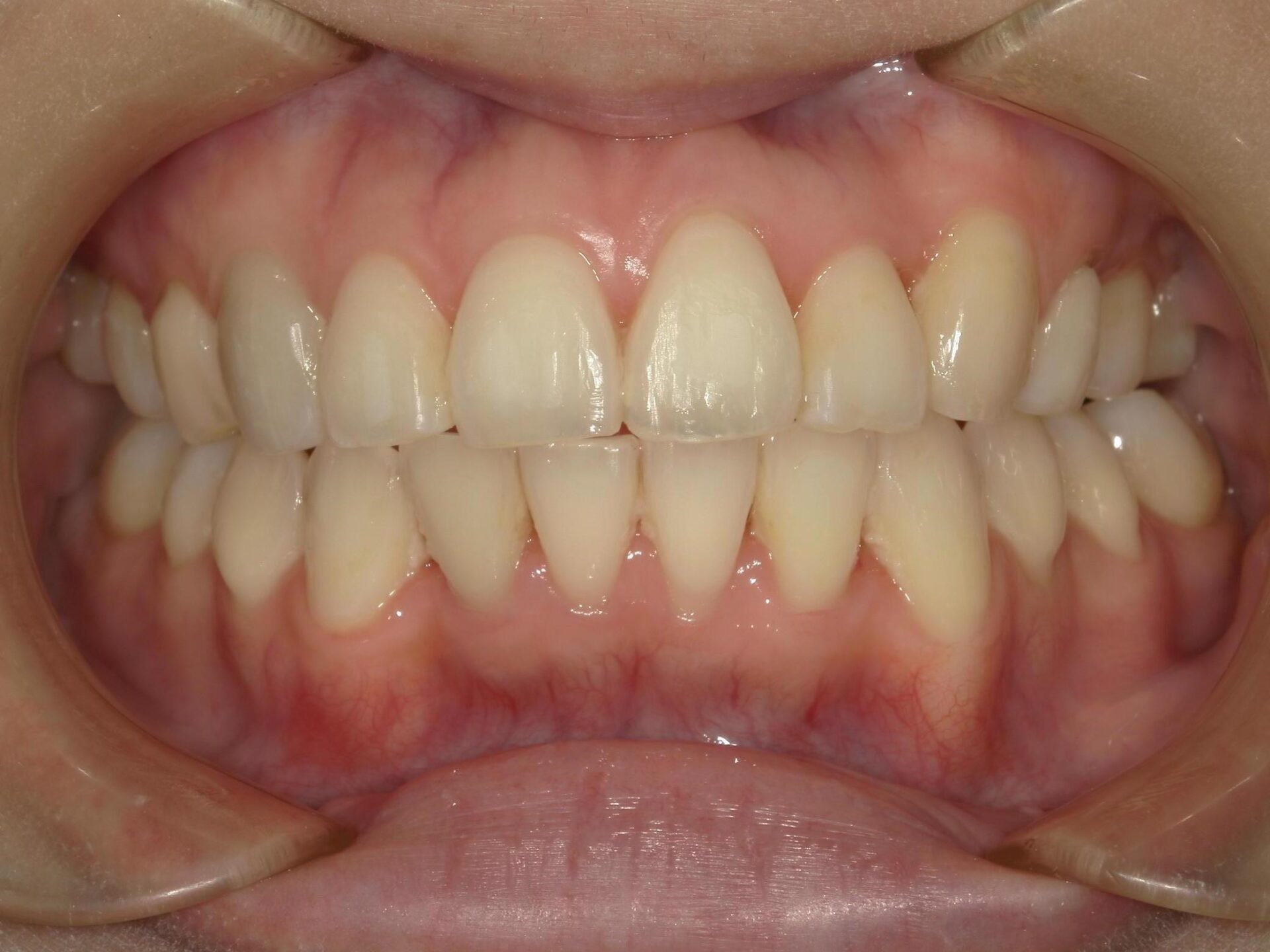
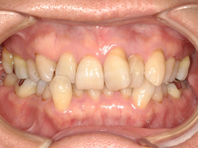
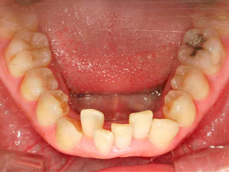
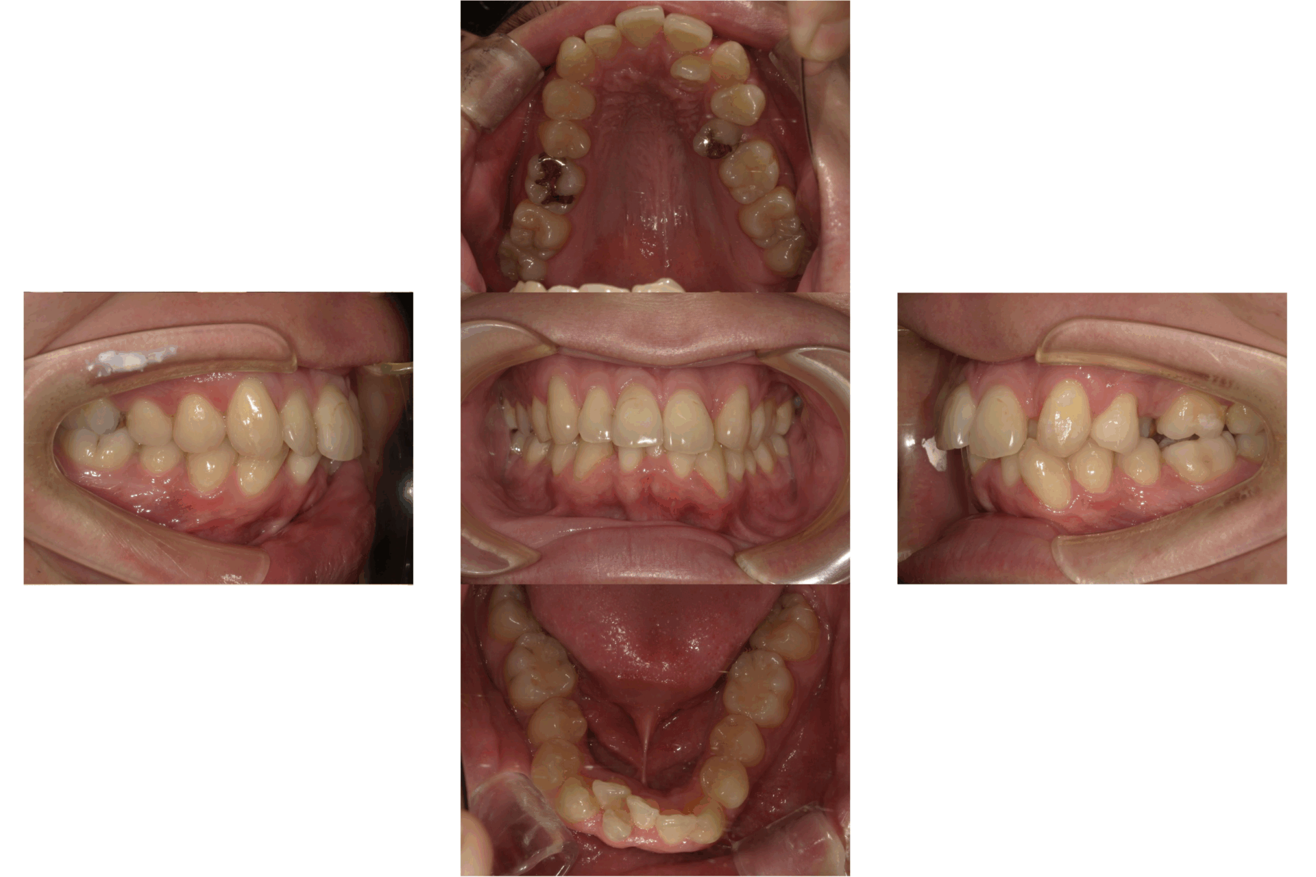
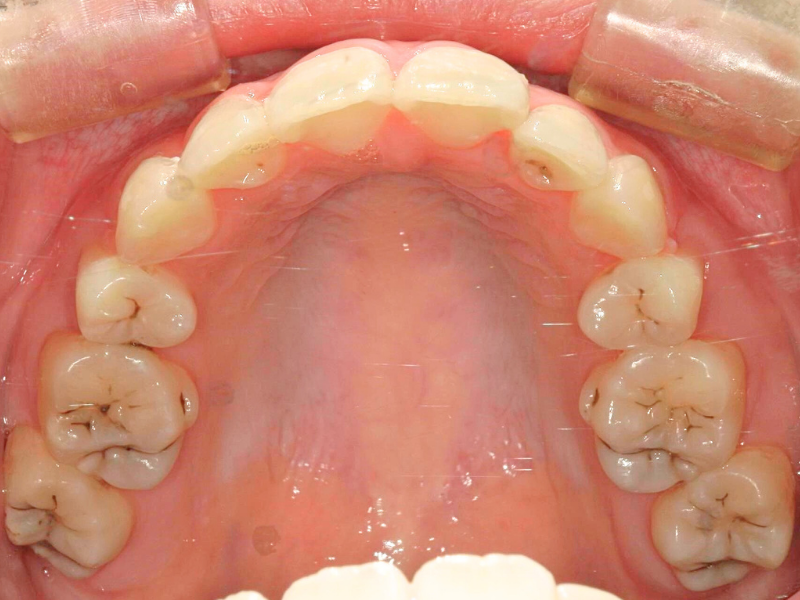
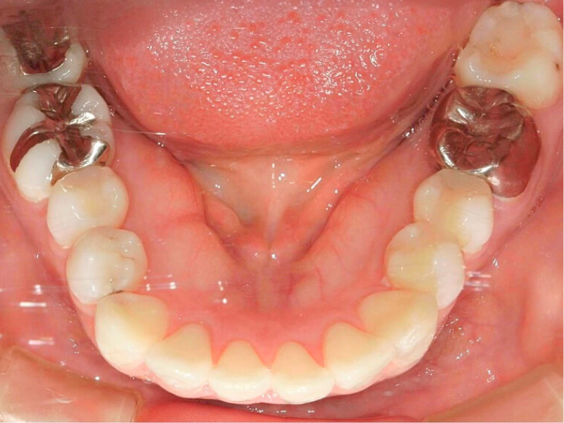
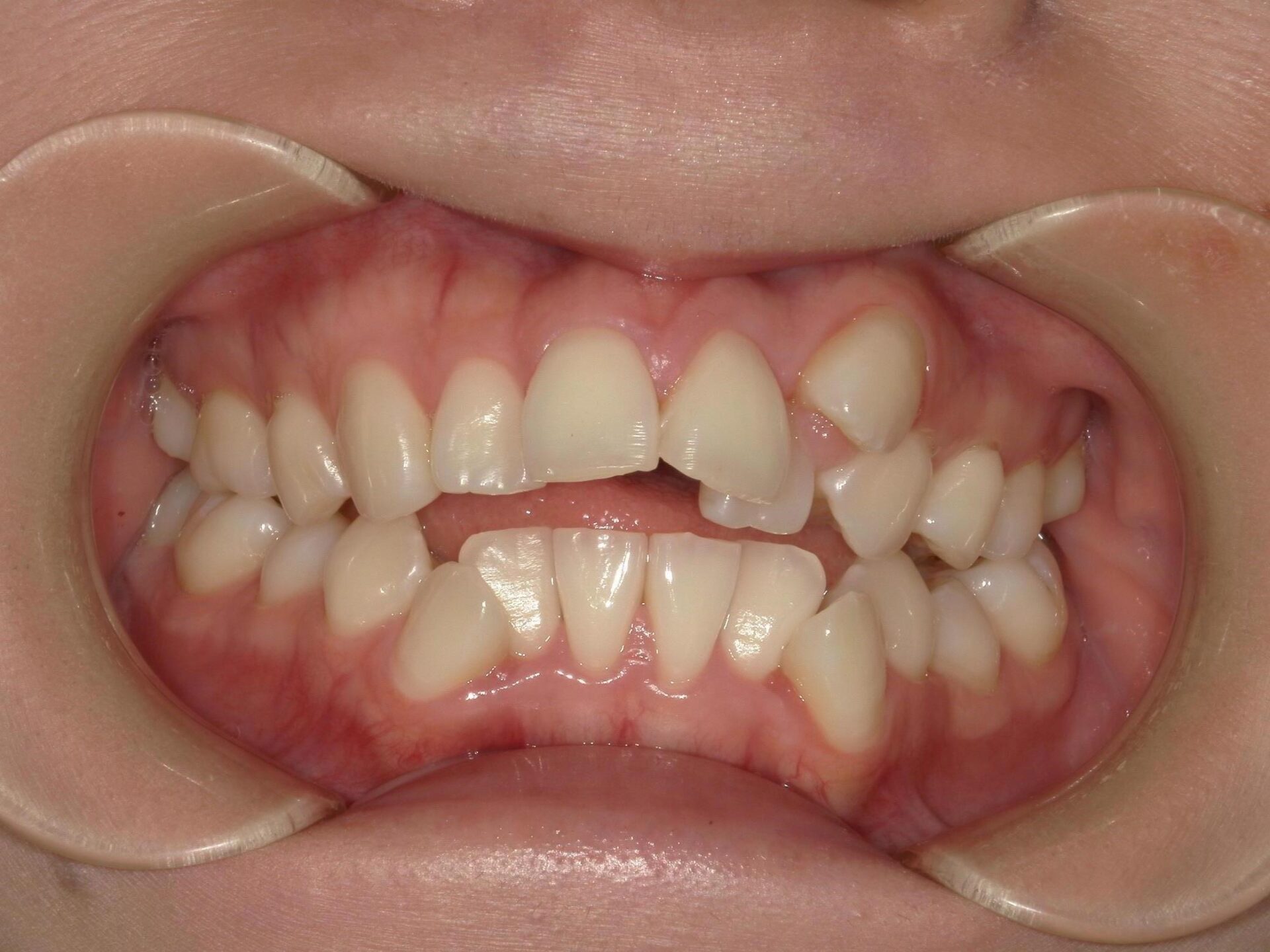
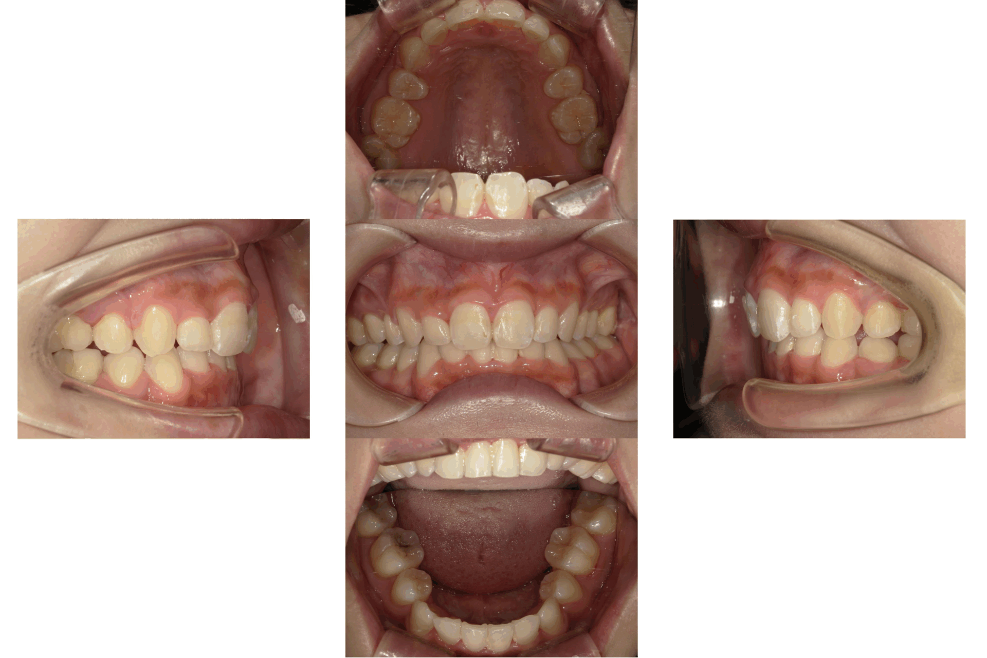
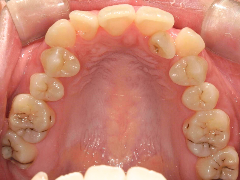
症例
20代、女性、ワイヤー
| 施術内容 | 主訴:口ゴボが気になる。 詳細:ワイヤー矯正での歯並び改善 口元がかなり変化し、とても満足された症例です。 |
|---|---|
| 治療期間 | 16ヶ月(3/24現在 治療終了) |
| リスク・副作用 | ■リスク・副作用 ・治療の初期段階では、痛みや不快感が生じやすくなりますが、一週間前後で慣れます。 ・歯の動き方には個人差があるため、予想された治療期間より延長する場合があります。 |
| 費用 | ワイヤー矯正 60万円(税込660,000円) |
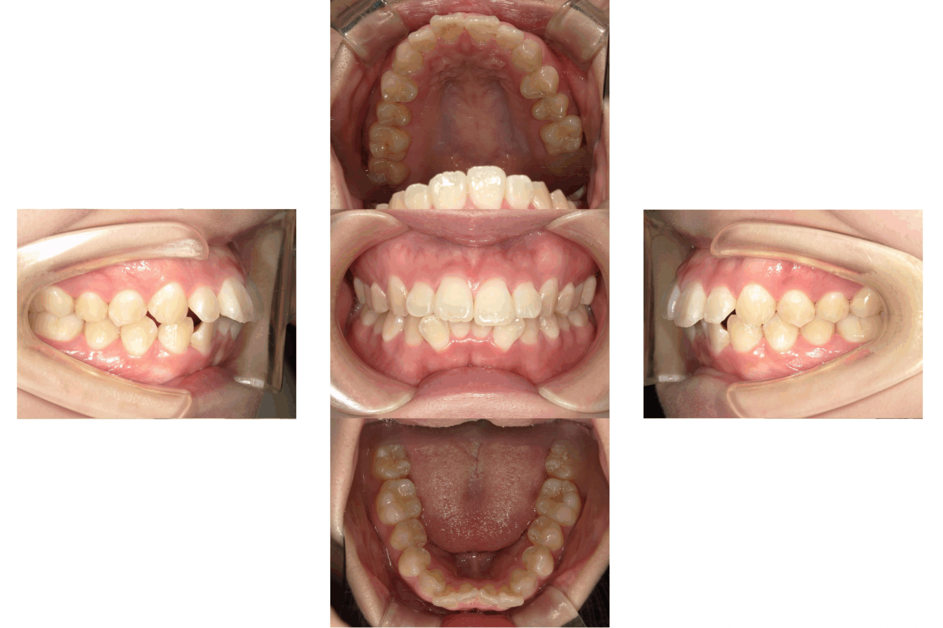
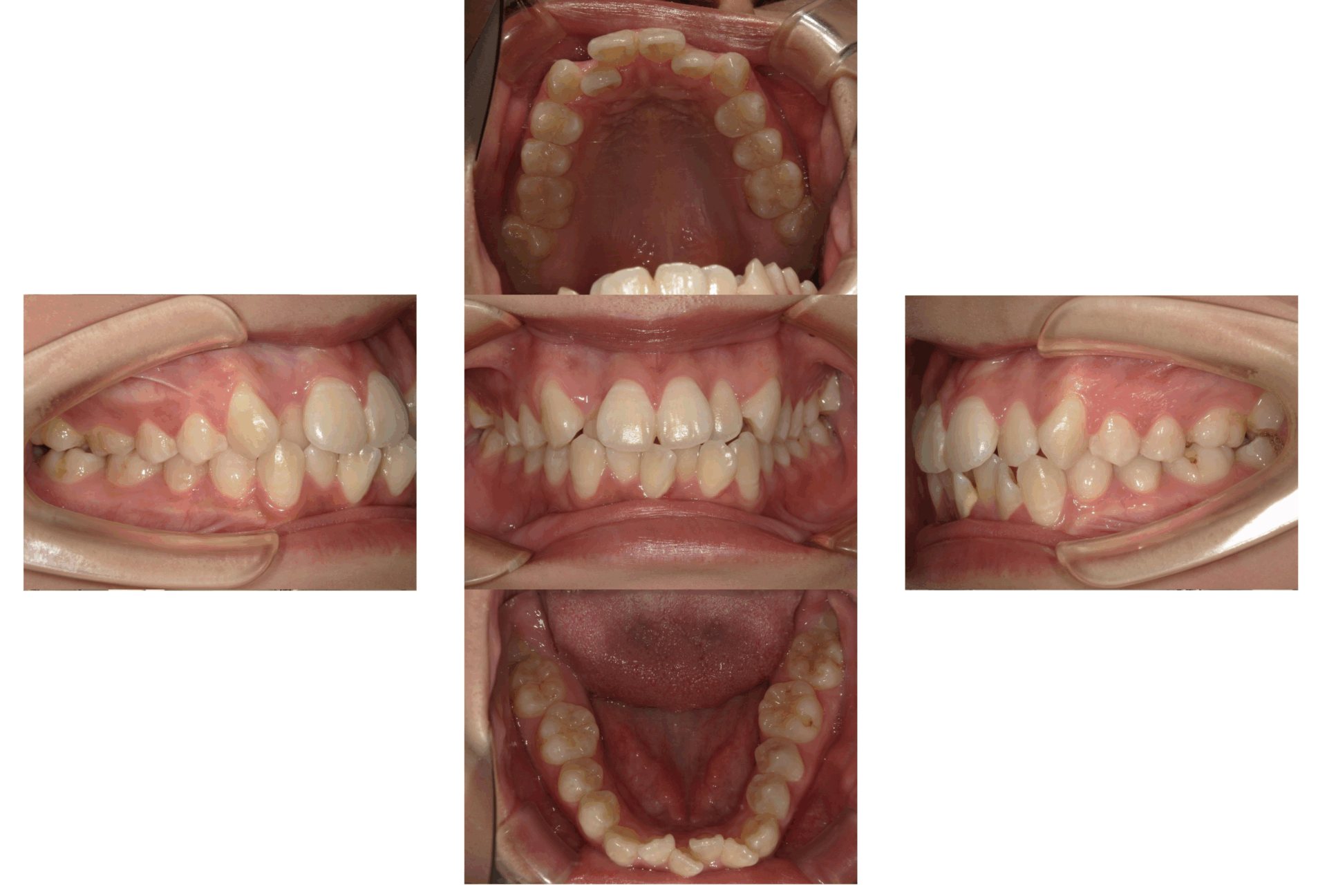
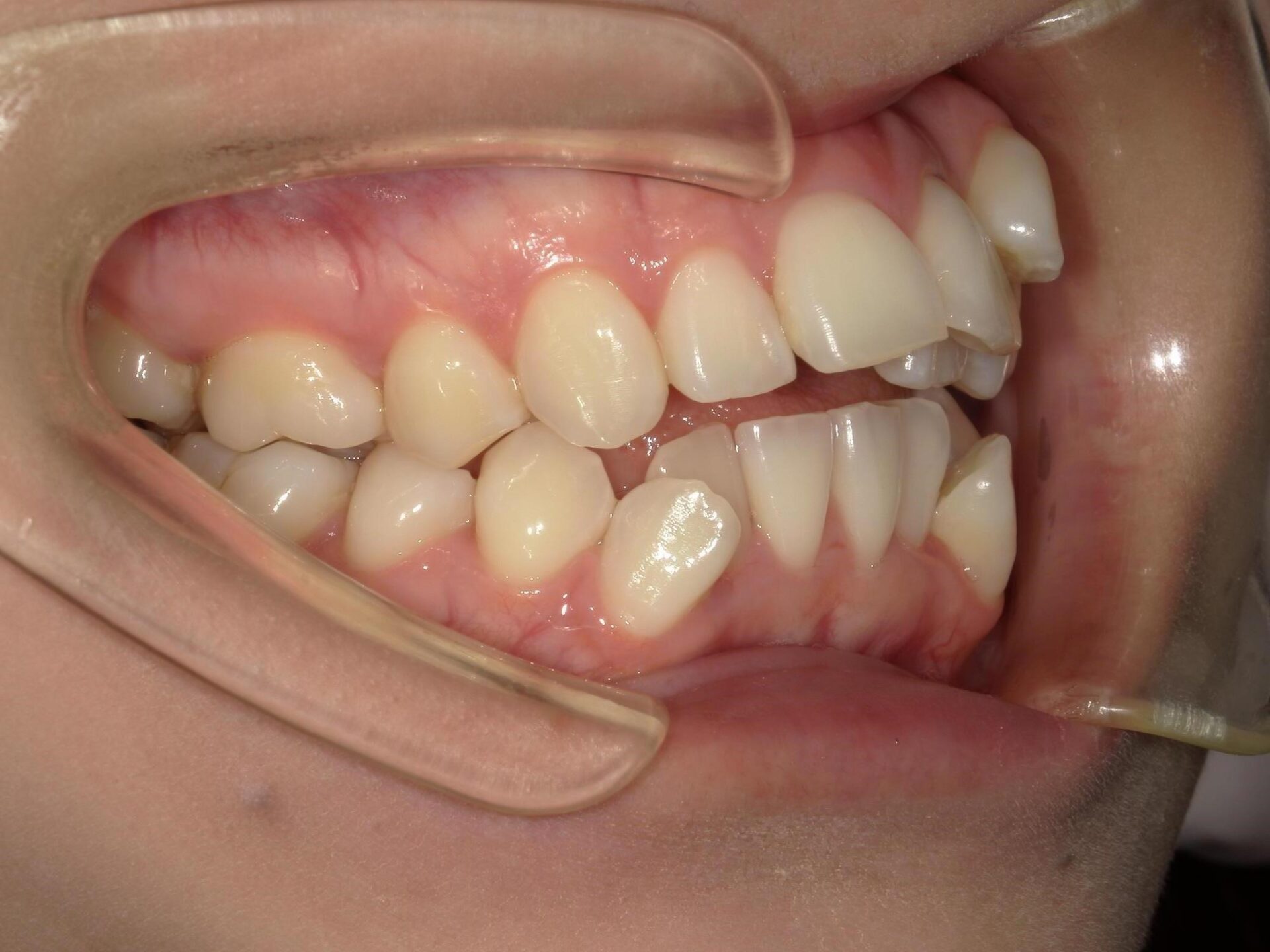
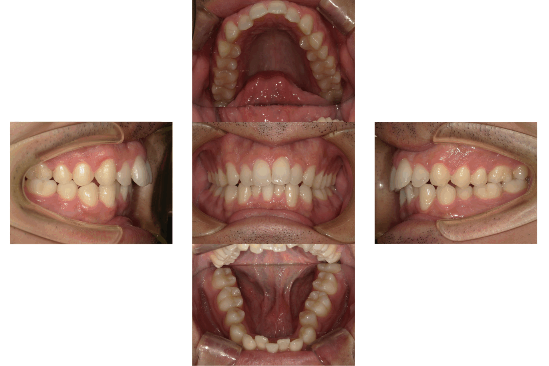
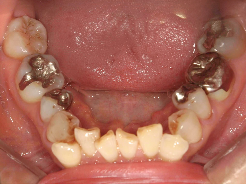
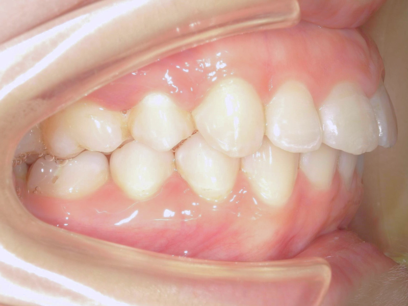
20代、女性、ワイヤー
| 施術内容 | 主訴:全体的に凸凹が気になる 詳細:ワイヤー矯正での歯並び改善 ずっと磨きにくく、臭いが気になっていましたが、 矯正後は磨きやすくなり、臭いも無くなって満足された症例です。 |
|---|---|
| 治療期間 | 16ヶ月(3/13現在 治療終了) |
| リスク・副作用 | ■リスク・副作用 ・治療の初期段階では、痛みや不快感が生じやすくなりますが、一週間前後で慣れます。 ・歯の動き方には個人差があるため、予想された治療期間より延長する場合があります。 |
| 費用 | ワイヤー矯正 60万円(税込660,000円) |
20代、女性、ワイヤー
| 施術内容 | 主訴:下の前歯の凸凹が気になる 詳細:ワイヤー矯正での歯並び改善 |
|---|---|
| 治療期間 | 4ヶ月(10/1現在 治療終了) |
| リスク・副作用 | ■リスク・副作用 ・治療の初期段階では、痛みや不快感が生じやすくなりますが、一週間前後で慣れます。 ・歯の動き方には個人差があるため、予想された治療期間より延長する場合があります。 |
| 費用 | 部分矯正 10万(税込110,000円) |
30代、女性、マウスピース
| 施術内容 | 主訴:下の前歯が凸凹で気になる 詳細:マウスピース矯正を装着しての歯並び改善 |
|---|---|
| 治療期間 | 6ヶ月(9/2現在 治療終了) |
| リスク・副作用 | ■リスク・副作用 ・治療の初期段階では、痛みや不快感が生じやすくなりますが、一週間前後で慣れます。 ・歯の動き方には個人差があるため、予想された治療期間より延長する場合があります。 |
| 費用 | マウスピース12枚コース 32万(税込352,000円) |
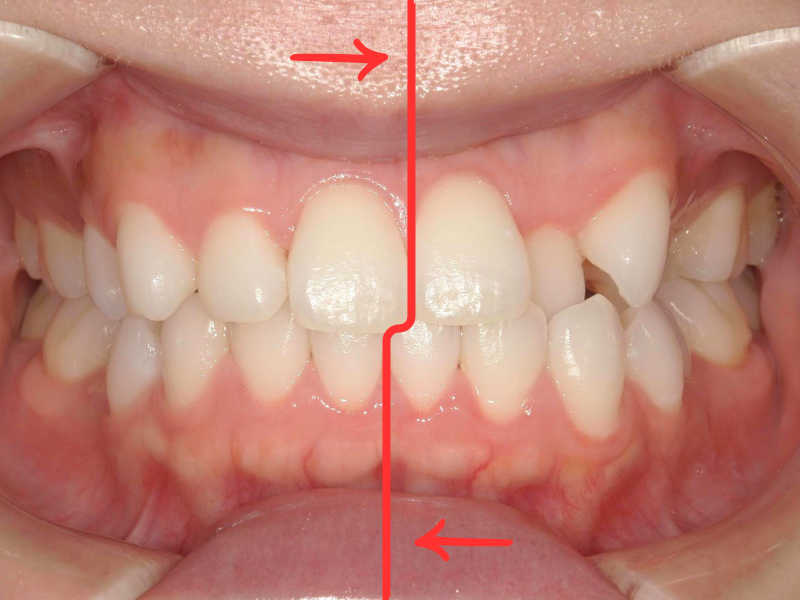
20代、女性、ワイヤー
| 施術内容 | 主訴:真ん中の線が合っていないのが気になる 詳細:ワイヤー矯正での歯並び改善 |
|---|---|
| 治療期間 | 18ヶ月(9/19現在 治療終了) |
| リスク・副作用 | ■リスク・副作用 ・治療の初期段階では、痛みや不快感が生じやすくなりますが、一週間前後で慣れます。 ・歯の動き方には個人差があるため、予想された治療期間より延長する場合があります。 |
| 費用 | ワイヤー矯正 60万円(税込660,000円) |
20代、女性、ワイヤー
| 施術内容 | 主訴:全体的に凸凹が気になる 詳細:ワイヤー矯正での歯並び改善 |
|---|---|
| 治療期間 | 28ヶ月(9/16現在 治療終了) |
| リスク・副作用 | ■リスク・副作用 ・治療の初期段階では、痛みや不快感が生じやすくなりますが、一週間前後で慣れます。 ・歯の動き方には個人差があるため、予想された治療期間より延長する場合があります。 |
| 費用 | ワイヤー矯正 60万円(税込660,000円) |
10代、女性、ワイヤー
| 施術内容 | 主訴:全体的に凸凹で歯を磨きにくい 詳細:ワイヤー矯正での歯並び改善 |
|---|---|
| 治療期間 | 14ヶ月(8/26現在 治療終了) |
| リスク・副作用 | ■リスク・副作用 ・治療の初期段階では、痛みや不快感が生じやすくなりますが、一週間前後で慣れます。 ・歯の動き方には個人差があるため、予想された治療期間より延長する場合があります。 |
| 費用 | ワイヤー矯正 60万円(税込660,000円) |
20代、女性、マウスピース
| 施術内容 | 主訴:上下前歯の凸凹が気になる 詳細:マウスピース矯正を装着しての歯並び改善 |
|---|---|
| 治療期間 | 20ヶ月(7/24現在 治療終了) |
| リスク・副作用 | ・治療の初期段階では、痛みや不快感が生じやすくなりますが、一週間前後で慣れます。 ・歯の動き方には個人差があるため、予想された治療期間より延長する場合があります。 |
| 費用 | 枚数無制限 48万(税込528,000円) |
20代、女性、マウスピース
| 施術内容 | 主訴:下の歯がでこぼこしている 詳細:マウスピース矯正を装着しての歯並び改善 |
|---|---|
| 治療期間 | 8ヶ月(治療途中) |
| リスク・副作用 | ・治療の初期段階では、痛みや不快感が生じやすくなりますが、一週間前後で慣れます。 ・歯の動き方には個人差があるため、予想された治療期間より延長する場合があります。 |
| 費用 | 枚数無制限 48万(税込528,000円) |
20代、女性、マウスピース
| 施術内容 | 主訴:前歯の凸凹が気になる 詳細:マウスピース矯正を装着しての歯並び改善 |
|---|---|
| 治療期間 | 16ヶ月(3/8現在 治療途中) |
| リスク・副作用 | ・治療の初期段階では、痛みや不快感が生じやすくなりますが、一週間前後で慣れます。 ・歯の動き方には個人差があるため、予想された治療期間より延長する場合があります。 |
| 費用 | 枚数無制限 48万(税込528,000円) |
30代、女性、マウスピース
| 施術内容 | 主訴:全体的に凸凹が気になる 詳細:マウスピース矯正を装着しての歯並び改善 |
|---|---|
| 治療期間 | 12ヶ月(7/7現在 治療終了) |
| リスク・副作用 | ・治療の初期段階では、痛みや不快感が生じやすくなりますが、一週間前後で慣れます。 ・歯の動き方には個人差があるため、予想された治療期間より延長する場合があります。 |
| 費用 | 枚数無制限 48万(税込528,000円) |
30代、女性、マウスピースからワイヤー
| 施術内容 | 主訴:上の前歯のねじれが気になる 詳細:マウスピース矯正後にワイヤー矯正での歯並び改善 |
|---|---|
| 治療期間 | 25ヶ月(11/26 治療終了) |
| リスク・副作用 | ・治療の初期段階では、痛みや不快感が生じやすくなりますが、一週間前後で慣れます。 ・歯の動き方には個人差があるため、予想された治療期間より延長する場合があります。 |
| 費用 | 60万円(税込660,000円) |
20代、女性、ワイヤー
| 施術内容 | 主訴:全体的に凸凹が気になる 詳細:ワイヤー矯正での歯並び改善 |
|---|---|
| 治療期間 | 10ヶ月(7/16現在 治療途中) |
| リスク・副作用 | ・治療の初期段階では、痛みや不快感が生じやすくなりますが、一週間前後で慣れます。 ・歯の動き方には個人差があるため、予想された治療期間より延長する場合があります。 |
| 費用 | 60万円(税込660,000円) |
30代、女性、マウスピース
| 施術内容 | 主訴:左上2番の凸凹と下前歯の凸凹が気になる 詳細:マウスピース矯正を装着しての歯並び改善。 仕事で海外に行くため、早めに終わりたいとのご要望。 半年でここまで改善できました。 |
|---|---|
| 治療期間 | 6ヶ月(10/17現在 治療途中) |
| リスク・副作用 | ・治療の初期段階では、痛みや不快感が生じやすくなりますが、一週間前後で慣れます。 ・歯の動き方には個人差があるため、予想された治療期間より延長する場合があります。 |
| 費用 | 枚数無制限 48万(税込528,000円) |
20代、女性、マウスピース
| 施術内容 | 主訴:全体的に凸凹が気になる 詳細:マウスピース矯正を装着しての歯並び改善 |
|---|---|
| 治療期間 | 18ヶ月(治療途中) |
| リスク・副作用 | ・治療の初期段階では、痛みや不快感が生じやすくなりますが、一週間前後で慣れます。 ・歯の動き方には個人差があるため、予想された治療期間より延長する場合があります。 |
| 費用 | 枚数無制限 48万(税込528,000円) |
20代、女性、ワイヤー
| 施術内容 | 主訴:全体的に凸凹が気になる 詳細:ワイヤー矯正を装着しての歯並び改善 |
|---|---|
| 治療期間 | 15ヶ月(11/17現在 治療途中) |
| リスク・副作用 | ・治療の初期段階では、痛みや不快感が生じやすくなりますが、一週間前後で慣れます。 ・歯の動き方には個人差があるため、予想された治療期間より延長する場合があります。 |
| 費用 | ワイヤー矯正 60万(税込660,000円) |
30代、女性、マウスピース
| 施術内容 | 主訴:下前歯が凸凹している 詳細:マウスピース矯正を装着しての歯並び改善(抜歯なし) |
|---|---|
| 治療期間 | 16ヶ月(7/9現在 治療途中) |
| リスク・副作用 | ・治療の初期段階では、痛みや不快感が生じやすくなりますが、一週間前後で慣れます。 ・歯の動き方には個人差があるため、予想された治療期間より延長する場合があります。 |
| 費用 | 枚数無制限 48万(税込528,000円) |
30代、男性、マウスピースからワイヤー
| 施術内容 | 主訴:下の歯が凸凹している 詳細:マウスピース矯正とワイヤー矯正を装着しての歯並び改善 |
|---|---|
| 治療期間 | 22ヶ月(6/21現在 治療途中) |
| リスク・副作用 | ・治療の初期段階では、痛みや不快感が生じやすくなりますが、一週間前後で慣れます。 ・歯の動き方には個人差があるため、予想された治療期間より延長する場合があります。 |
| 費用 | 60万円(税込660,000円) (マウスピース矯正からワイヤー矯正へ移行) |
20代、女性、マウスピース
| 施術内容 | 主訴:前歯が凸凹している 詳細:マウスピース矯正を装着しての歯並び改善 |
|---|---|
| 治療期間 | 1年1ヶ月(治療途中) |
| リスク・副作用 | ・治療の初期段階では、痛みや不快感が生じやすくなりますが、一週間前後で慣れます。 ・歯の動き方には個人差があるため、予想された治療期間より延長する場合があります。 |
| 費用 | 枚数無制限 48万(税込528,000円) |
20代、男性、マウスピース
| 施術内容 | 主訴:上の前歯でこぼこしてる 詳細:マウスピース矯正を装着しての歯並び改善 |
|---|---|
| 治療期間 | 2年3ヶ月(治療途中) |
| リスク・副作用 | ・治療の初期段階では、痛みや不快感が生じやすくなりますが、一週間前後で慣れます。 ・歯の動き方には個人差があるため、予想された治療期間より延長する場合があります。 |
| 費用 | 枚数無制限 48万(税込528,000円) |
40代、女性、マウスピース
| 施術内容 | 主訴:全体的に凸凹がきになる 詳細:マウスピース矯正を装着しての歯並び改善 |
|---|---|
| 治療期間 | 16ヶ月(治療途中) |
| リスク・副作用 | ・治療の初期段階では、痛みや不快感が生じやすくなりますが、一週間前後で慣れます。 ・歯の動き方には個人差があるため、予想された治療期間より延長する場合があります。 |
| 費用 | 枚数無制限 48万(税込528,000円) |
30代、女性、ワイヤー
| 施術内容 | 主訴:全体的に凸凹が気になる 詳細:ワイヤー矯正を装着しての歯並び改善 |
|---|---|
| 治療期間 | 18ヶ月(治療途中) |
| リスク・副作用 | ・治療の初期段階では、痛みや不快感が生じやすくなりますが、一週間前後で慣れます。 ・歯の動き方には個人差があるため、予想された治療期間より延長する場合があります。 |
| 費用 | 60万円(税込660,000円) |
20代、女性、マウスピース
| 施術内容 | 主訴:上の歯の凸凹が気になる 詳細:マウスピース矯正を装着しての歯並び改善 |
|---|---|
| 治療期間 | 14ヶ月(治療途中) |
| リスク・副作用 | ・治療の初期段階では、痛みや不快感が生じやすくなりますが、一週間前後で慣れます。 ・歯の動き方には個人差があるため、予想された治療期間より延長する場合があります。 |
| 費用 | 枚数無制限 48万(税込528,000円) |
30代、男性、マウスピース
| 施術内容 | 主訴:上の歯の凸凹が気になる 詳細:マウスピース矯正を装着しての歯並び改善 |
|---|---|
| 治療期間 | 18ヶ月(治療途中) |
| リスク・副作用 | ・治療の初期段階では、痛みや不快感が生じやすくなりますが、一週間前後で慣れます。 ・歯の動き方には個人差があるため、予想された治療期間より延長する場合があります。 |
| 費用 | 枚数無制限 48万(税込528,000円) |
40代、女性、マウスピース
| 施術内容 | 主訴:下の歯の凸凹が気になる 詳細:マウスピース矯正を装着しての歯並び改善 |
|---|---|
| 治療期間 | 18ヶ月(治療途中) |
| リスク・副作用 | ・治療の初期段階では、痛みや不快感が生じやすくなりますが、一週間前後で慣れます。 ・歯の動き方には個人差があるため、予想された治療期間より延長する場合があります。 |
| 費用 | 枚数無制限 48万(税込528,000円) |
20代、女性、マウスピース
| 施術内容 | 主訴:下の歯の凸凹が気になる 詳細:マウスピース矯正を装着しての歯並び改善 |
|---|---|
| 治療期間 | 20ヶ月(治療途中) |
| リスク・副作用 | ・治療の初期段階では、痛みや不快感が生じやすくなりますが、一週間前後で慣れます。 ・歯の動き方には個人差があるため、予想された治療期間より延長する場合があります。 |
| 費用 | 枚数無制限 48万(税込528,000円) |
10代、女性、マウスピース
| 施術内容 | 主訴:全体的に凸凹が気になる 詳細:マウスピース矯正を装着しての歯並び改善 |
|---|---|
| 治療期間 | 15ヶ月(10/16現在 治療途中) |
| リスク・副作用 | ・治療の初期段階では、痛みや不快感が生じやすくなりますが、一週間前後で慣れます。 ・歯の動き方には個人差があるため、予想された治療期間より延長する場合があります。 |
| 費用 | 枚数無制限 48万(税込528,000円) |
10代、女性、ワイヤー
| 施術内容 | 主訴:全体的に凸凹が気になる 詳細:ワイヤー矯正を装着しての歯並び改善 |
|---|---|
| 治療期間 | 18ヶ月(10/24現在 治療途中) |
| リスク・副作用 | ・治療の初期段階では、痛みや不快感が生じやすくなりますが、一週間前後で慣れます。 ・歯の動き方には個人差があるため、予想された治療期間より延長する場合があります。 |
| 費用 | ワイヤー矯正 60万(税込660,000円) |
20代、女性、ワイヤー
| 施術内容 | 主訴:全体的に凸凹が気になる 詳細:ワイヤー矯正を装着しての歯並び改善 |
|---|---|
| 治療期間 | 18ヶ月(11/6現在 治療途中) |
| リスク・副作用 | ・治療の初期段階では、痛みや不快感が生じやすくなりますが、一週間前後で慣れます。 ・歯の動き方には個人差があるため、予想された治療期間より延長する場合があります。 |
| 費用 | ワイヤー矯正 60万(税込660,000円) |
10代、女性、ワイヤー
| 施術内容 | 主訴:全体的に凸凹が気になる(特に左上部) 詳細:ワイヤー矯正を装着しての歯並び改善 |
|---|---|
| 治療期間 | 18ヶ月(11/15現在 治療途中) |
| リスク・副作用 | ・治療の初期段階では、痛みや不快感が生じやすくなりますが、一週間前後で慣れます。 ・歯の動き方には個人差があるため、予想された治療期間より延長する場合があります。 |
| 費用 | ワイヤー矯正 60万(税込660,000円) |
20代、女性、ワイヤー
| 施術内容 | 主訴:全体的に凸凹が気になる 詳細:ワイヤー矯正を装着しての歯並び改善 |
|---|---|
| 治療期間 | 10ヶ月(11/17現在 治療途中) |
| リスク・副作用 | ・治療の初期段階では、痛みや不快感が生じやすくなりますが、一週間前後で慣れます。 ・歯の動き方には個人差があるため、予想された治療期間より延長する場合があります。 |
| 費用 | ワイヤー矯正 60万(税込660,000円) |
20代、女性、マウスピース
| 施術内容 | 主訴:前歯の凸凹が気になる(特に左3番目の歯) 詳細:マウスピース矯正を装着しての歯並び改善 |
|---|---|
| 治療期間 | 16ヶ月(12/18現在 治療途中) |
| リスク・副作用 | ・治療の初期段階では、痛みや不快感が生じやすくなりますが、一週間前後で慣れます。 ・歯の動き方には個人差があるため、予想された治療期間より延長する場合があります。 |
| 費用 | 枚数無制限 48万(税込528,000円) |
20代、女性、ワイヤー
| 施術内容 | 主訴:前歯の凸凹が気になる 詳細:ワイヤー矯正を装着しての歯並び改善 |
|---|---|
| 治療期間 | 18ヶ月(1/19現在 治療途中) |
| リスク・副作用 | ・治療の初期段階では、痛みや不快感が生じやすくなりますが、一週間前後で慣れます。 ・歯の動き方には個人差があるため、予想された治療期間より延長する場合があります。 |
| 費用 | ワイヤー矯正 60万(税込660,000円) |
10代、女性、マウスピース
| 施術内容 | 主訴:前歯の凸凹が気になる 詳細:マウスピース矯正を装着しての歯並び改善 |
|---|---|
| 治療期間 | 24ヶ月(2/17現在 治療途中) |
| リスク・副作用 | ・治療の初期段階では、痛みや不快感が生じやすくなりますが、一週間前後で慣れます。 ・歯の動き方には個人差があるため、予想された治療期間より延長する場合があります。 |
| 費用 | 枚数無制限 48万(税込528,000円) |
20代、女性、ワイヤー
| 施術内容 | 主訴:全体的に凸凹が気になる 詳細:ワイヤー矯正を装着しての歯並び改善 カラーオーリングを使用しています |
|---|---|
| 治療期間 | 1ヶ月(4/3現在 治療途中) |
| リスク・副作用 | ・治療の初期段階では、痛みや不快感が生じやすくなりますが、一週間前後で慣れます。 ・歯の動き方には個人差があるため、予想された治療期間より延長する場合があります。 |
| 費用 | ワイヤー矯正 60万(税込660,000円) カラーオーリング 通常調整料5,000円(税込5,500円)+1,000円(税込1,100円) |
40代、女性、マウスピース
| 施術内容 | 主訴:全体的に凸凹が気になる 詳細:マウスピース矯正を装着しての歯並び改善 |
|---|---|
| 治療期間 | 15ヶ月(4/24現在 治療途中) |
| リスク・副作用 | ・治療の初期段階では、痛みや不快感が生じやすくなりますが、一週間前後で慣れます。 ・歯の動き方には個人差があるため、予想された治療期間より延長する場合があります。 |
| 費用 | 枚数無制限 48万(税込528,000円) |
20代、女性、ワイヤー
| 施術内容 | 主訴:全体的に凸凹が気になる 詳細:ワイヤー矯正を装着しての歯並び改善 |
|---|---|
| 治療期間 | 15ヶ月(5/10現在 治療途中) |
| リスク・副作用 | ・治療の初期段階では、痛みや不快感が生じやすくなりますが、一週間前後で慣れます。 ・歯の動き方には個人差があるため、予想された治療期間より延長する場合があります。 |
| 費用 | 60万(税込660,000円) |
20代、女性、ワイヤー
| 施術内容 | 主訴:全体的に凸凹が気になる 詳細:ワイヤー矯正を装着しての歯並び改善 |
|---|---|
| 治療期間 | 20ヶ月(5/18現在 治療途中) |
| リスク・副作用 | ・治療の初期段階では、痛みや不快感が生じやすくなりますが、一週間前後で慣れます。 ・歯の動き方には個人差があるため、予想された治療期間より延長する場合があります。 |
| 費用 | 60万(税込660,000円) |
30代、男性、マウスピース
| 施術内容 | 主訴:上前歯の傾斜と下前歯の凸凹がきになる 詳細:マウスピース矯正を装着しての歯並び改善 |
|---|---|
| 治療期間 | 7ヶ月(12/13現在 治療途中) |
| リスク・副作用 | ・治療の初期段階では、痛みや不快感が生じやすくなりますが、一週間前後で慣れます。 ・歯の動き方には個人差があるため、予想された治療期間より延長する場合があります。 |
| 費用 | 枚数無制限 48万(税込528,000円) |
20代、女性、マウスピース
| 施術内容 | 主訴:前歯が凸凹している 詳細:マウスピース矯正を装着しての歯並び改善(抜歯なし) |
|---|---|
| 治療期間 | 24ヶ月(8/7現在 治療途中) |
| リスク・副作用 | ・治療の初期段階では、痛みや不快感が生じやすくなりますが、一週間前後で慣れます。 ・歯の動き方には個人差があるため、予想された治療期間より延長する場合があります。 |
| 費用 | 枚数無制限 48万(税込528,000円) |
60代、女性、マウスピース
| 施術内容 | 主訴:全体的に凸凹が気になる 詳細:マウスピース矯正を装着しての歯並び改善 ※矯正後に前歯の隙間が気になる場合、ダイレクトボンディングで埋めることもできます(プラスチック) |
|---|---|
| 治療期間 | 20ヶ月(8/20現在 治療終了) |
| リスク・副作用 | ■リスク・副作用 ・治療の初期段階では、痛みや不快感が生じやすくなりますが、一週間前後で慣れます。 ・歯の動き方には個人差があるため、予想された治療期間より延長する場合があります。 |
| 費用 | 枚数無制限 48万(税込528,000円) |
40代、女性、ワイヤー
| 施術内容 | 主訴:前歯が噛めないい 詳細:ワイヤー矯正での歯並び改善 なんと6ヶ月でここまで改善しました。 患者様も感動していました。 |
|---|---|
| 治療期間 | 6ヶ月(3/18現在 治療終了) |
| リスク・副作用 | ■リスク・副作用 ・治療の初期段階では、痛みや不快感が生じやすくなりますが、一週間前後で慣れます。 ・歯の動き方には個人差があるため、予想された治療期間より延長する場合があります。 |
| 費用 | ワイヤー矯正 60万(税込660,000円) |
20代、女性、マウスピース
| 施術内容 | 主訴:前歯が噛めない、前歯が出てるのが気になる 詳細:マウスピース矯正を装着しての歯並び改善 |
|---|---|
| 治療期間 | 24ヶ月(4/30現在 治療途中) |
| リスク・副作用 | ・治療の初期段階では、痛みや不快感が生じやすくなりますが、一週間前後で慣れます。 ・歯の動き方には個人差があるため、予想された治療期間より延長する場合があります。 |
| 費用 | 枚数無制限 48万(税込528,000円) |
20代、女性、マウスピース
| 施術内容 | 主訴:前歯がかめない 詳細:マウスピース矯正を装着しての歯並び改善 |
|---|---|
| 治療期間 | 23ヶ月(11/9現在 治療途中) |
| リスク・副作用 | ・治療の初期段階では、痛みや不快感が生じやすくなりますが、一週間前後で慣れます。 ・歯の動き方には個人差があるため、予想された治療期間より延長する場合があります。 |
| 費用 | 枚数無制限 48万(税込528,000円) |
20代、女性、マウスピース
| 施術内容 | 主訴:前歯がかめない 詳細:マウスピース矯正を装着しての歯並び改善 |
|---|---|
| 治療期間 | 12ヶ月(10/15現在 治療途中) |
| リスク・副作用 | ・治療の初期段階では、痛みや不快感が生じやすくなりますが、一週間前後で慣れます。 ・歯の動き方には個人差があるため、予想された治療期間より延長する場合があります。 |
| 費用 | 枚数無制限 48万(税込528,000円) |
20代、女性、マウスピース
| 施術内容 | 主訴:前歯がかめない 詳細:マウスピース矯正を装着しての歯並び改善 |
|---|---|
| 治療期間 | 16ヶ月(7/19現在 治療途中) |
| リスク・副作用 | ・治療の初期段階では、痛みや不快感が生じやすくなりますが、一週間前後で慣れます。 ・歯の動き方には個人差があるため、予想された治療期間より延長する場合があります。 |
| 費用 | 枚数無制限 48万(税込528,000円) |
30代、女性、マウスピース
| 施術内容 | 主訴:前歯かめない 詳細:マウスピース矯正を装着しての歯並び改善 |
|---|---|
| 治療期間 | 15ヶ月(治療途中) |
| リスク・副作用 | ・治療の初期段階では、痛みや不快感が生じやすくなりますが、一週間前後で慣れます。 ・歯の動き方には個人差があるため、予想された治療期間より延長する場合があります。 |
| 費用 | 枚数無制限 48万(税込528,000円) |
40代、女性、マウスピース
| 施術内容 | 主訴:前歯がかめない 詳細:マウスピース矯正を装着しての歯並び改善 |
|---|---|
| 治療期間 | 24ヶ月(11/17現在 治療途中) |
| リスク・副作用 | ・治療の初期段階では、痛みや不快感が生じやすくなりますが、一週間前後で慣れます。 ・歯の動き方には個人差があるため、予想された治療期間より延長する場合があります。 |
| 費用 | 枚数無制限 48万(税込528,000円) |
30代、女性、マウスピース
| 施術内容 | 主訴:前歯がかめない 詳細:マウスピース矯正を装着しての歯並び改善 |
|---|---|
| 治療期間 | 10ヶ月(11/17現在 治療途中) |
| リスク・副作用 | ・治療の初期段階では、痛みや不快感が生じやすくなりますが、一週間前後で慣れます。 ・歯の動き方には個人差があるため、予想された治療期間より延長する場合があります。 |
| 費用 | 枚数無制限 48万(税込528,000円) |
10代、女性、マウスピース
| 施術内容 | 主訴:前歯がかめない 詳細:マウスピース矯正を装着しての歯並び改善 |
|---|---|
| 治療期間 | 6ヶ月(4/18現在 治療途中) |
| リスク・副作用 | ・治療の初期段階では、痛みや不快感が生じやすくなりますが、一週間前後で慣れます。 ・歯の動き方には個人差があるため、予想された治療期間より延長する場合があります。 |
| 費用 | 枚数無制限 48万(税込528,000円) |
50代、女性、ワイヤー
| 施術内容 | 主訴:前歯で食べられない 詳細:ワイヤー矯正での歯並び改善 |
|---|---|
| 治療期間 | 21ヶ月(1/24現在 治療終了) |
| リスク・副作用 | ・治療の初期段階では、痛みや不快感が生じやすくなりますが、一週間前後で慣れます。 ・歯の動き方には個人差があるため、予想された治療期間より延長する場合があります。 |
| 費用 | ワイヤー矯正 60万円(税込660,000円) |
40代、女性、マウスピース
| 施術内容 | 主訴:前歯が噛めない、前歯が出てるのが気になる 詳細:マウスピース矯正を装着しての歯並び改善 |
|---|---|
| 治療期間 | 24ヶ月(2/22現在 治療途中) |
| リスク・副作用 | ・治療の初期段階では、痛みや不快感が生じやすくなりますが、一週間前後で慣れます。 ・歯の動き方には個人差があるため、予想された治療期間より延長する場合があります。 |
| 費用 | 枚数無制限 48万(税込528,000円) |
10代、女性、ワイヤー
| 施術内容 | 主訴:上の歯の隙間があいている 詳細:ワイヤー矯正での歯並び改善 |
|---|---|
| 治療期間 | 12ヶ月(治療途中) |
| リスク・副作用 | ・治療の初期段階では、痛みや不快感が生じやすくなりますが、一週間前後で慣れます。 ・歯の動き方には個人差があるため、予想された治療期間より延長する場合があります。 |
| 費用 | 60万(税込660,000円) |
10代、女性、マウスピース
| 施術内容 | 主訴:上の歯の隙間があいている 詳細:マウスピース矯正を装着しての歯並び改善 |
|---|---|
| 治療期間 | 12ヶ月(1/11現在 治療途中) |
| リスク・副作用 | ・治療の初期段階では、痛みや不快感が生じやすくなりますが、一週間前後で慣れます。 ・歯の動き方には個人差があるため、予想された治療期間より延長する場合があります。 |
| 費用 | 枚数無制限 48万(税込528,000円) |
20代、女性、マウスピース
| 施術内容 | 主訴:上の歯の隙間があいている 詳細:マウスピース矯正を装着しての歯並び改善 |
|---|---|
| 治療期間 | 4ヶ月(4/12現在 治療途中) |
| リスク・副作用 | ・治療の初期段階では、痛みや不快感が生じやすくなりますが、一週間前後で慣れます。 ・歯の動き方には個人差があるため、予想された治療期間より延長する場合があります。 |
| 費用 | 12枚コース 32万(税込352,000円) |
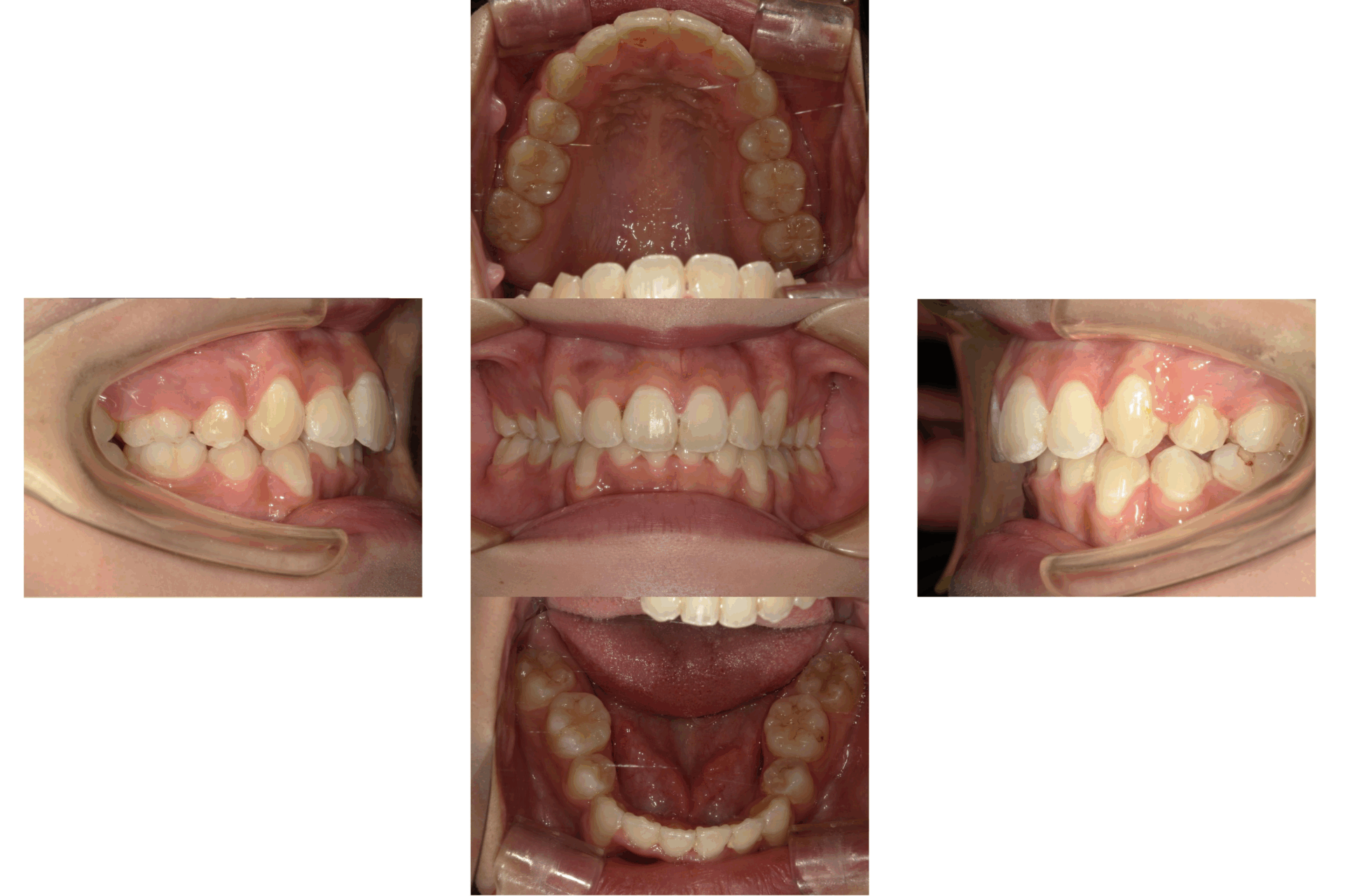
30代、女性、ワイヤー
| 施術内容 | 主訴:噛み合わせが深い 詳細:ワイヤー矯正での歯並び改善 見えなかった下の歯が見えるようになりました◎ |
|---|---|
| 治療期間 | 18ヶ月(3/23現在 治療終了) |
| リスク・副作用 | ■リスク・副作用 ・治療の初期段階では、痛みや不快感が生じやすくなりますが、一週間前後で慣れます。 ・歯の動き方には個人差があるため、予想された治療期間より延長する場合があります。 |
| 費用 | ワイヤー矯正 60万円(税込660,000円) |
20代、女性、マウスピース
| 施術内容 | 主訴:噛み合わせが深い、真ん中の線が合っていない 詳細:マウスピース矯正を装着しての歯並び改善 |
|---|---|
| 治療期間 | 10ヶ月(9/26現在 治療終了) |
| リスク・副作用 | ■リスク・副作用 ・治療の初期段階では、痛みや不快感が生じやすくなりますが、一週間前後で慣れます。 ・歯の動き方には個人差があるため、予想された治療期間より延長する場合があります。 |
| 費用 | 枚数無制限 48万(税込528,000円) |
40代、女性、マウスピース
| 施術内容 | 主訴:噛み合わせが深い、前歯が出てるのが気になる 詳細:マウスピース矯正を装着しての歯並び改善 |
|---|---|
| 治療期間 | 20ヶ月(7/11現在 治療終了) |
| リスク・副作用 | ・治療の初期段階では、痛みや不快感が生じやすくなりますが、一週間前後で慣れます。 ・歯の動き方には個人差があるため、予想された治療期間より延長する場合があります。 |
| 費用 | 枚数無制限 48万(税込528,000円) |
30代、女性、マウスピース
| 施術内容 | 主訴:全体的に凸凹がきになる 詳細:マウスピース矯正を装着しての歯並び改善 |
|---|---|
| 治療期間 | 10ヶ月(治療途中) |
| リスク・副作用 | ・治療の初期段階では、痛みや不快感が生じやすくなりますが、一週間前後で慣れます。 ・歯の動き方には個人差があるため、予想された治療期間より延長する場合があります。 |
| 費用 | 枚数無制限 48万(税込528,000円) |
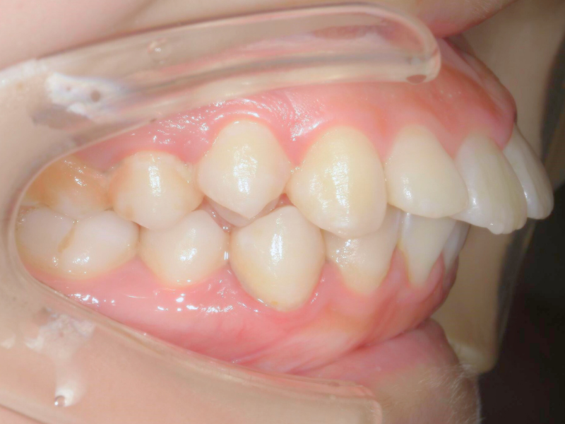
20代、男性、ワイヤー
| 施術内容 | 主訴:噛み合わせが深い 詳細:ワイヤー矯正での歯並び改善 |
|---|---|
| 治療期間 | 4ヶ月 10.10現在 治療途中 上の前歯しか見えなかったのが、下の前歯も見えてきました。 |
| リスク・副作用 | ・治療の初期段階では、痛みや不快感が生じやすくなりますが、一週間前後で慣れます。 ・歯の動き方には個人差があるため、予想された治療期間より延長する場合があります。 |
| 費用 | 60万円(税込660,000円) |
20代、女性、ワイヤー
| 施術内容 | 主訴:噛み合わせが深い 詳細:ワイヤー矯正での歯並び改善 |
|---|---|
| 治療期間 | 15ヶ月(6/6現在 治療途中) |
| リスク・副作用 | ・治療の初期段階では、痛みや不快感が生じやすくなりますが、一週間前後で慣れます。 ・歯の動き方には個人差があるため、予想された治療期間より延長する場合があります。 |
| 費用 | ワイヤー矯正 60万円(税込660,000円) |
20代、女性、ワイヤー
| 施術内容 | 主訴:噛めない。 詳細:ワイヤー矯正での歯並び改善 右上5番抜歯、左上4番抜歯 |
|---|---|
| 治療期間 | 25ヶ月(2/27現在 治療終了) |
| リスク・副作用 | ■リスク・副作用 ・治療の初期段階では、痛みや不快感が生じやすくなりますが、一週間前後で慣れます。 ・歯の動き方には個人差があるため、予想された治療期間より延長する場合があります。 |
| 費用 | ワイヤー矯正 60万円(税込660,000円) |
20代、女性、ワイヤー
| 施術内容 | 主訴:口ゴボが気になる。 詳細:ワイヤー矯正での歯並び改善 上下左右4抜歯 口元がかなり変化し、とても満足された症例です。 |
|---|---|
| 治療期間 | 20ヶ月(2/16現在 治療終了) |
| リスク・副作用 | ■リスク・副作用 ・治療の初期段階では、痛みや不快感が生じやすくなりますが、一週間前後で慣れます。 ・歯の動き方には個人差があるため、予想された治療期間より延長する場合があります。 |
| 費用 | ワイヤー矯正 60万円(税込660,000円) |
10代、女性、ワイヤー
| 施術内容 | 主訴:上下前歯でこぼこ。なるべく抜きたくない。 詳細:ワイヤー矯正での歯並び改善 詳細:ワイヤー矯正での歯並び改善 歯肉炎リスクあるため、今後は後戻りのチェックとともに歯肉炎管理もしていきます。 |
|---|---|
| 治療期間 | 12ヶ月(2/6現在 治療終了) |
| リスク・副作用 | ■リスク・副作用 ・治療の初期段階では、痛みや不快感が生じやすくなりますが、一週間前後で慣れます。 ・歯の動き方には個人差があるため、予想された治療期間より延長する場合があります。 |
| 費用 | ワイヤー矯正 60万円(税込660,000円) |
20代、女性、ワイヤー
| 施術内容 | 主訴:出っ歯。Eライン下げたい。前歯で噛めない。 詳細:ワイヤー矯正での歯並び改善 口元も下がり、見た目的にも満足されてる症例です。 |
|---|---|
| 治療期間 | 15ヶ月(2/3現在 治療終了) |
| リスク・副作用 | ■リスク・副作用 ・治療の初期段階では、痛みや不快感が生じやすくなりますが、一週間前後で慣れます。 ・歯の動き方には個人差があるため、予想された治療期間より延長する場合があります。 |
| 費用 | ワイヤー矯正 60万円(税込660,000円) |
20代、男性、ワイヤー
| 施術内容 | 主訴:でこぼこで食べ物がよく挟まる。虫歯や歯肉炎に悩まされてきた。 詳細:ワイヤー矯正での歯並び改善 とても磨きやすくなったと満足されてます。 |
|---|---|
| 治療期間 | 16ヶ月(2/3現在 治療終了) |
| リスク・副作用 | ■リスク・副作用 ・治療の初期段階では、痛みや不快感が生じやすくなりますが、一週間前後で慣れます。 ・歯の動き方には個人差があるため、予想された治療期間より延長する場合があります。 |
| 費用 | ワイヤー矯正 60万円(税込660,000円) |
20代、女性、ワイヤー
| 施術内容 | 主訴:Eラインが出て、口が開いてしまう。口ゴボが気になる。 詳細:ワイヤー矯正での歯並び改善 見た目もとても満足されてます。 |
|---|---|
| 治療期間 | 15ヶ月(1/31現在 治療終了) |
| リスク・副作用 | ■リスク・副作用 ・治療の初期段階では、痛みや不快感が生じやすくなりますが、一週間前後で慣れます。 ・歯の動き方には個人差があるため、予想された治療期間より延長する場合があります。 |
| 費用 | ワイヤー矯正 60万円(税込660,000円) |
20代、女性、ワイヤー
| 施術内容 | 主訴:口ゴボが気になる。 詳細:ワイヤー矯正での歯並び改善 横顔の改善もみられ、見た目もとても満足されています。 |
|---|---|
| 治療期間 | 18ヶ月(1/31現在 治療終了) |
| リスク・副作用 | ■リスク・副作用 ・治療の初期段階では、痛みや不快感が生じやすくなりますが、一週間前後で慣れます。 ・歯の動き方には個人差があるため、予想された治療期間より延長する場合があります。 |
| 費用 | ワイヤー矯正 60万円(税込660,000円) |
20代、男性、ワイヤー
| 施術内容 | 主訴:上前歯が出ている。下がデコボコ。なるべく歯を抜きたくない。 詳細:マウスピース矯正を装着しての歯並び改善 |
|---|---|
| 治療期間 | 12ヶ月(12/16現在 治療終了) |
| リスク・副作用 | ■リスク・副作用 ・治療の初期段階では、痛みや不快感が生じやすくなりますが、一週間前後で慣れます。 ・歯の動き方には個人差があるため、予想された治療期間より延長する場合があります。 |
| 費用 | 枚数無制限 48万(税込528,000円) |
20代、女性、ワイヤー
| 施術内容 | 主訴:口元が出ている。口が閉じにくい。 詳細:ワイヤー矯正での歯並び改善 |
|---|---|
| 治療期間 | 25ヶ月(1/21現在 治療終了) |
| リスク・副作用 | ■リスク・副作用 ・治療の初期段階では、痛みや不快感が生じやすくなりますが、一週間前後で慣れます。 ・歯の動き方には個人差があるため、予想された治療期間より延長する場合があります。 |
| 費用 | ワイヤー矯正 60万円(税込660,000円) |
20代、女性、ワイヤー
| 施術内容 | 主訴:他医院で10年矯正してるが治らない。長い理由を聞いても教えてくれないため、不信感で転院希望。Eラインも出ており、もっと口元を下げたい。 詳細:ワイヤー矯正での歯並び改善。口元も下がりとても満足される結果になりました。他医院の治療相談も受け付けております。 |
|---|---|
| 治療期間 | 18ヶ月(11/4現在 治療終了) |
| リスク・副作用 | ■リスク・副作用 ・治療の初期段階では、痛みや不快感が生じやすくなりますが、一週間前後で慣れます。 ・歯の動き方には個人差があるため、予想された治療期間より延長する場合があります。 |
| 費用 | ワイヤー矯正 60万(税込660,000円) |
20代、女性、ワイヤー
| 施術内容 | 主訴: ・口が閉じにくく開いてしまう ・口呼吸になってしまう ・Eラインが気になる ・小学校高学年から大学まで矯正をしていたが仕上がりに満足してない。 詳細:ワイヤー矯正での歯並び改善 |
|---|---|
| 治療期間 | 20ヶ月(10/28現在 治療終了) |
| リスク・副作用 | ■リスク・副作用 ・治療の初期段階では、痛みや不快感が生じやすくなりますが、一週間前後で慣れます。 ・歯の動き方には個人差があるため、予想された治療期間より延長する場合があります。 |
| 費用 | ワイヤー矯正 60万(税込660,000円) |
30代、女性、ワイヤー
| 施術内容 | 主訴:Eラインが出ており、口が閉じにくい 詳細:ワイヤー矯正での歯並び改善 |
|---|---|
| 治療期間 | 18ヶ月(8/29現在 治療途中) |
| リスク・副作用 | ■リスク・副作用 ・治療の初期段階では、痛みや不快感が生じやすくなりますが、一週間前後で慣れます。 ・歯の動き方には個人差があるため、予想された治療期間より延長する場合があります。 |
| 費用 | ワイヤー矯正 60万円(税込660,000円) |
20代、女性、ワイヤー
| 施術内容 | 主訴:前歯が出てるのが気になる 詳細:ワイヤー矯正での歯並び改善 |
|---|---|
| 治療期間 | 13ヶ月(8/20現在 治療終了) |
| リスク・副作用 | ・治療の初期段階では、痛みや不快感が生じやすくなりますが、一週間前後で慣れます。 ・歯の動き方には個人差があるため、予想された治療期間より延長する場合があります。 |
| 費用 | 60万円(税込660,000円) |
20代、女性、ワイヤー
| 施術内容 | 主訴:前歯出ていてEラインが気になる 詳細:ワイヤー矯正での歯並び改善 |
|---|---|
| 治療期間 | 24ヶ月(8/29現在 治療終了) |
| リスク・副作用 | ■リスク・副作用 ・治療の初期段階では、痛みや不快感が生じやすくなりますが、一週間前後で慣れます。 ・歯の動き方には個人差があるため、予想された治療期間より延長する場合があります。 |
| 費用 | ワイヤー矯正 60万円(税込660,000円) |
20代、女性、ワイヤー
| 施術内容 | 主訴:上前歯の傾斜がきになる 詳細:ワイヤー矯正を装着しての歯並び改善(上顎左右、奥歯抜歯) |
|---|---|
| 治療期間 | 12ヶ月(6.26現在 治療途中) |
| リスク・副作用 | ・治療の初期段階では、痛みや不快感が生じやすくなりますが、一週間前後で慣れます。 ・歯の動き方には個人差があるため、予想された治療期間より延長する場合があります。 |
| 費用 | 60万円(税込660,000円) |
20代、女性、ワイヤー
| 施術内容 | 主訴:前歯が出てるのが気になる 詳細:ワイヤー矯正での歯並び改善 |
|---|---|
| 治療期間 | 14ヶ月(4/16現在 治療途中) |
| リスク・副作用 | ・治療の初期段階では、痛みや不快感が生じやすくなりますが、一週間前後で慣れます。 ・歯の動き方には個人差があるため、予想された治療期間より延長する場合があります。 |
| 費用 | ワイヤー矯正 60万(税込660,000円) |
20代、女性、マウスピース
| 施術内容 | 主訴:前歯が出てるのが気になる 詳細:マウスピース矯正を装着しての歯並び改善 |
|---|---|
| 治療期間 | 23ヶ月(2/17現在 治療終了) |
| リスク・副作用 | ・治療の初期段階では、痛みや不快感が生じやすくなりますが、一週間前後で慣れます。 ・歯の動き方には個人差があるため、予想された治療期間より延長する場合があります。 |
| 費用 | 枚数無制限 48万(税込528,000円) |
20代、女性、マウスピース
| 施術内容 | 主訴:前歯が出てるのが気になる 詳細:マウスピース矯正を装着しての歯並び改善 |
|---|---|
| 治療期間 | 19ヶ月(3/8現在 治療終了) |
| リスク・副作用 | ・治療の初期段階では、痛みや不快感が生じやすくなりますが、一週間前後で慣れます。 ・歯の動き方には個人差があるため、予想された治療期間より延長する場合があります。 |
| 費用 | 枚数無制限 48万(税込528,000円) |
20代、女性、ワイヤー
| 施術内容 | 主訴:前歯が出てるのが気になる 詳細:ワイヤー矯正を装着しての歯並び改善 |
|---|---|
| 治療期間 | 14ヶ月(3/8現在 治療途中) |
| リスク・副作用 | ・治療の初期段階では、痛みや不快感が生じやすくなりますが、一週間前後で慣れます。 ・歯の動き方には個人差があるため、予想された治療期間より延長する場合があります。 |
| 費用 | ワイヤー矯正 60万(税込660,000円) |
20代、女性、ワイヤー
| 施術内容 | 主訴:前歯が出てるのが気になる 詳細:ワイヤー矯正を装着しての歯並び改善 |
|---|---|
| 治療期間 | 24ヶ月(5/17現在 治療途中) |
| リスク・副作用 | ・治療の初期段階では、痛みや不快感が生じやすくなりますが、一週間前後で慣れます。 ・歯の動き方には個人差があるため、予想された治療期間より延長する場合があります。 |
| 費用 | ワイヤー矯正 60万(税込660,000円) |
30代、女性、ワイヤー
| 施術内容 | 主訴:歯と歯の先端が噛んでしまいすり減ってきた 詳細:マウスピース矯正を装着しての歯並び改善 |
|---|---|
| 治療期間 | 6ヶ月(11/19現在 治療終了) |
| リスク・副作用 | ■リスク・副作用 ・治療の初期段階では、痛みや不快感が生じやすくなりますが、一週間前後で慣れます。 ・歯の動き方には個人差があるため、予想された治療期間より延長する場合があります。 |
| 費用 | 12枚コース 32万(税込352,000円) |
30代、女性、マウスピース
| 施術内容 | 主訴:下顎前歯の突出が気になる 詳細:マウスピース矯正を装着しての歯並び改善 長年悩まれていた受け口が7か月で改善されました。 |
|---|---|
| 治療期間 | 7ヶ月(12/2現在 治療途中) |
| リスク・副作用 | ・治療の初期段階では、痛みや不快感が生じやすくなりますが、一週間前後で慣れます。 ・歯の動き方には個人差があるため、予想された治療期間より延長する場合があります。 |
| 費用 | 枚数無制限 48万(税込528,000円) |
30代、女性、マウスピース
| 施術内容 | 主訴:前歯が反対になっている 詳細:マウスピース矯正を装着しての歯並び改善 |
|---|---|
| 治療期間 | 20ヶ月 (7.3現在 治療途中) |
| リスク・副作用 | ・治療の初期段階では、痛みや不快感が生じやすくなりますが、一週間前後で慣れます。 ・歯の動き方には個人差があるため、予想された治療期間より延長する場合があります。 |
| 費用 | 枚数無制限 48万(税込528,000円) |
30代、女性、マウスピース
| 施術内容 | 主訴:前歯が反対になっている 詳細:マウスピース矯正を装着しての歯並び改善 |
|---|---|
| 治療期間 | 2年1ヶ月(治療途中) |
| リスク・副作用 | ・治療の初期段階では、痛みや不快感が生じやすくなりますが、一週間前後で慣れます。 ・歯の動き方には個人差があるため、予想された治療期間より延長する場合があります。 |
| 費用 | 枚数無制限 48万(税込528,000円) |
20代、女性、マウスピース
| 施術内容 | 主訴:右上前歯反対に噛んでる 詳細:マウスピース矯正を装着しての歯並び改善 |
|---|---|
| 治療期間 | 6ヶ月(4/30現在 治療終了) |
| リスク・副作用 | ・治療の初期段階では、痛みや不快感が生じやすくなりますが、一週間前後で慣れます。 ・歯の動き方には個人差があるため、予想された治療期間より延長する場合があります。 |
| 費用 | 12枚コース 32万円(税込352,000円) |
10代、女性、マウスピース
| 施術内容 | 主訴:前歯の隙間が気になる 詳細:マウスピース矯正を装着しての歯並び改善 |
|---|---|
| 治療期間 | 11ヶ月(治療途中) |
| リスク・副作用 | ・治療の初期段階では、痛みや不快感が生じやすくなりますが、一週間前後で慣れます。 ・歯の動き方には個人差があるため、予想された治療期間より延長する場合があります。 |
| 費用 | 枚数無制限 48万(税込528,000円) |
20代、女性、マウスピース
| 施術内容 | 主訴:上の歯の隙間があいている 詳細:マウスピース矯正を装着しての歯並び改善 |
|---|---|
| 治療期間 | 8ヶ月(治療途中) |
| リスク・副作用 | ・治療の初期段階では、痛みや不快感が生じやすくなりますが、一週間前後で慣れます。 ・歯の動き方には個人差があるため、予想された治療期間より延長する場合があります。 |
| 費用 | 枚数無制限 48万(税込528,000円) |
20代、女性、マウスピース
| 施術内容 | 主訴:前歯の隙間が気になる 詳細:マウスピース矯正を装着しての歯並び改善 |
|---|---|
| 治療期間 | 16ヶ月(治療途中) |
| リスク・副作用 | ・治療の初期段階では、痛みや不快感が生じやすくなりますが、一週間前後で慣れます。 ・歯の動き方には個人差があるため、予想された治療期間より延長する場合があります。 |
| 費用 | 枚数無制限 48万(税込528,000円) |
20代、女性、マウスピース
| 施術内容 | 主訴:上の歯の隙間があいている 詳細:マウスピース矯正を装着しての歯並び改善 |
|---|---|
| 治療期間 | 6ヶ月(1/19現在 治療途中) |
| リスク・副作用 | ・治療の初期段階では、痛みや不快感が生じやすくなりますが、一週間前後で慣れます。 ・歯の動き方には個人差があるため、予想された治療期間より延長する場合があります。 |
| 費用 | 枚数無制限 48万(税込528,000円) |
20代、女性、マウスピース
| 施術内容 | 主訴:他医院での矯正後の後戻り(上前歯) 詳細:部分矯正での歯並び改善 |
|---|---|
| 治療期間 | 3ヶ月(1/24現在 治療途中) |
| リスク・副作用 | ・治療の初期段階では、痛みや不快感が生じやすくなりますが、一週間前後で慣れます。 ・歯の動き方には個人差があるため、予想された治療期間より延長する場合があります。 |
| 費用 | 部分矯正 10万(税込110,000円) |
